Make friends on Animal Crossing: New Horizons!
About Animal Crossing: New Horizons About ACJoin the community!
hohoaian
Mai vàng từ lâu đã trở thành biểu tượng của mùa xuân, mang ý nghĩa may mắn và hạnh phúc trong dịp Tết cổ truyền. https://yeumaivang.com/mai-vang-ben-tre/ https://yeumaivang.com/nguon-cung-cap-mai-vang/ https://yeumaivang.com/gia-ban-mai-vang-2023-dinh-gia-cay-mai-vang/
nhakhoasing
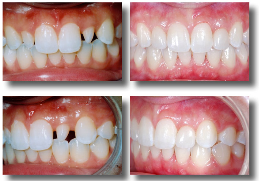
Boc rang su giai phap nha khoa hien dai cho nu cuoi hoan hao Mot nu cuoi tuoi tan khong chi tao an tuong tot trong giao tiep ma con phan anh su tu tin. Tuy nhiên, những vấn đề về răng miệng như răng xỉn màu, sứt mẻ, thưa, khấp khểnh hoặc đã điều trị tủy khiến nhiều người không thể tự tin cười thoải mái. Giữa nhiều lựa chọn nha khoa hiện đại, bọc răng sứ nổi bật lên như một giải pháp toàn diện, vừa mang tính thẩm mỹ, vừa tăng cường chức năng bảo vệ và phục hồi răng. Đây là kỹ thuật đã được khẳng định giá trị qua nhiều năm thực tiễn và ngày càng được ứng dụng rộng rãi.
Bọc răng sứ là gì? Bọc răng sứ là phương pháp phục hình trong đó một mão sứ được chế tác riêng để chụp lên thân răng thật sau khi được mài chỉnh. Lớp mão này đóng vai trò như một lớp vỏ bảo vệ, vừa tái tạo hình dáng, màu sắc, vừa giúp tăng độ bền cho răng. Điểm khác biệt lớn nhất của răng bọc sứ so với các phương pháp khác là khả năng bao phủ toàn bộ thân răng, không chỉ cải thiện thẩm mỹ mà còn tăng cường bảo vệ. Đặc biệt, bọc sứ rất hữu ích cho răng yếu, răng sau điều trị tủy hoặc răng bị mẻ, gãy.
Sự phát triển của công nghệ bọc răng sứ Trước đây, mão sứ thường kết hợp với kim loại để tăng cường độ bền, nhưng dễ làm đen viền nướu theo thời gian. Ngày nay, với sự ra đời của zirconia, e.max và nhiều loại sứ toàn phần khác, bọc sứ đã đạt đến mức thẩm mỹ cao, khó phân biệt với răng thật. Công nghệ CAD/CAM và hệ thống scan 3D hiện đại cũng giúp quá trình chế tác chính xác, giảm thời gian chờ đợi và tăng sự thoải mái cho khách hàng. Các loại răng bọc sứ phổ biến Tùy vào nhu cầu và tình trạng răng, khách hàng có thể lựa chọn các loại răng bọc sứ khác nhau: Sứ kim loại: Bền chắc, chi phí thấp, nhưng dễ làm đen viền nướu.
Sứ titan: Tương thích sinh học cao, ít gây dị ứng, độ bền khá tốt.
Sứ zirconia: Toàn sứ, chịu lực mạnh, thẩm mỹ tự nhiên, không đen nướu.
Sứ e.max: Trong mờ, màu sắc gần giống răng thật, thường dùng cho răng cửa.
Ưu điểm nổi bật của bọc răng sứ Phương pháp bọc răng sứ mang đến nhiều lợi ích vượt trội: Che phủ hoàn toàn răng xỉn màu, nhiễm tetracycline hoặc ố vàng nặng.
Khôi phục hình dáng răng thưa, lệch nhẹ, mẻ, vỡ.
Tăng cường độ bền chắc, cải thiện khả năng ăn nhai.
Bảo vệ răng thật khỏi tổn thương, nhất là răng sau điều trị tủy.
Mang lại nụ cười đều đẹp, trắng sáng, tự nhiên.
Tuổi thọ cao, có thể kéo dài hàng chục năm.
Quy trình bọc răng sứ nha khoa Sing Tại Nha khoa Sing, quy trình bọc răng sứ nha khoa sing được chuẩn hóa khắt khe, đảm bảo an toàn và thẩm mỹ: Thăm khám tổng quát: Bác sĩ kiểm tra sức khỏe răng miệng, chụp phim X-quang hoặc CT nếu cần.
Tư vấn và lập kế hoạch: Đưa ra phác đồ cá nhân hóa, lựa chọn loại sứ phù hợp.
Mài răng và lấy dấu: Mài chỉnh răng ít xâm lấn, sử dụng công nghệ Itero 5D để scan răng.
Chế tác mão sứ: Công nghệ CAD/CAM giúp chế tác chính xác đến từng micromet.
Thử và gắn cố định: Kiểm tra màu sắc, khớp cắn trước khi gắn chắc chắn.
Hướng dẫn chăm sóc: Bác sĩ dặn dò cách vệ sinh, chế độ ăn uống và lịch tái khám.
Tại sao nên chọn nha khoa Sing? Bọc răng sứ nha khoa sing được khách hàng tin tưởng bởi: Đội ngũ bác sĩ chuyên môn cao: Tiến sĩ Đặng Vũ Hải – người sáng lập Nha khoa Sing với hơn 30 năm kinh nghiệm, và Bác sĩ Vũ Đức Duy – Trưởng khoa Implant và Phục hình, nổi bật trong phục hình thẩm mỹ.
Trang thiết bị hiện đại: CT Cone Beam 3D, Itero 5D, CAD/CAM.
Chất liệu sứ cao cấp, nguồn gốc rõ ràng.
Quy trình vô trùng chuẩn Singapore, an toàn tuyệt đối.
Dịch vụ tận tâm, theo dõi sát sao sau điều trị.
Những ai nên bọc răng sứ? Bọc sứ phù hợp với nhiều tình huống: Răng bị đổi màu nặng, tẩy trắng không hiệu quả.
Răng mẻ, sứt, hình dáng bất thường.
Răng thưa, khấp khểnh nhẹ.
Răng đã điều trị tủy, răng yếu.
Người muốn cải thiện nụ cười toàn diện.
So sánh bọc răng sứ và các phương pháp khác So với veneer: Bọc sứ che phủ toàn bộ răng, phù hợp răng tổn thương nhiều, còn veneer chỉ dán mặt ngoài.
So với cầu răng: Bọc sứ bảo tồn răng thật, không cần mài răng kế cận.
So với hàm tháo lắp: Tính cố định và thẩm mỹ cao hơn hẳn.
Chăm sóc sau khi bọc răng sứ Để răng bọc sứ bền đẹp lâu dài, cần chú ý: Đánh răng ít nhất 2 lần/ngày bằng bàn chải lông mềm.
Dùng chỉ nha khoa hoặc tăm nước làm sạch kẽ răng.
Hạn chế thực phẩm cứng, quá nóng hoặc quá lạnh.
Khám nha khoa định kỳ 6 tháng/lần.
Lời khuyên từ chuyên gia Theo Shillingburg trong “Fundamentals of Fixed Prosthodontics”, thành công của bọc sứ phụ thuộc vào tay nghề bác sĩ, chất lượng vật liệu và quy trình thực hiện. Chính vì vậy, việc lựa chọn địa chỉ uy tín như Nha khoa Sing là điều kiện tiên quyết để đạt kết quả lâu dài. Trải nghiệm thực tế của khách hàng Khách hàng từng bọc sứ tại Sing chia sẻ rằng quá trình diễn ra nhẹ nhàng, không đau như lo lắng ban đầu. Sau khi hoàn tất, họ sở hữu hàm răng trắng sáng, đều đẹp và ăn nhai tự nhiên. Điều này mang lại sự tự tin vượt bậc trong công việc và cuộc sống. Xu hướng bọc răng sứ hiện nay Ngày càng nhiều người lựa chọn bọc răng sứ không chỉ để cải thiện thẩm mỹ mà còn để bảo vệ sức khỏe răng miệng. Công nghệ số hóa nha khoa giúp rút ngắn quy trình, tăng độ chính xác và mang đến trải nghiệm thoải mái. Kết luận Bọc răng sứ là giải pháp hiện đại, toàn diện và bền vững cho những ai mong muốn nụ cười đẹp, hàm răng chắc khỏe. Với đội ngũ bác sĩ giàu kinh nghiệm, công nghệ tiên tiến và dịch vụ tận tâm, bọc răng sứ nha khoa sing là lựa chọn hoàn hảo để đạt kết quả lâu dài và tự nhiên.
qrnmu673
隨著籃球文化在台灣持續升溫,Nike G.T. Cut 系列在球迷間討論度超高。尤其是Nike GT Cut 3不僅受到 Jordan Poole 球鞋愛好者追捧,更因多樣化配色引發話題。不少人好奇:這雙鞋到底適不適合室外?
- GT Cut 3 粉紅色:溫柔卻不失戰鬥力,深受女性球迷喜愛。
- GT Cut 3 Turbo 配色:速度感滿滿,強調敏捷與爆發力。
- GT Cut 3 權力遊戲:結合熱門影集元素,兼具收藏與潮流價值。
Nike GT Cut 3 室外球場完全能駕馭,建議選擇 EP 版本來提升耐用度與抓地力。如果你同時注重外觀,從 粉色、Turbo 配色到GT Cut 3權力遊戲版本,都能找到屬於你的完美搭配。
qrnmu673
近年來,Nike TC 7900快速竄紅,成為台灣潮流圈熱度極高的鞋款。不論是學生、上班族還是運動愛好者,大家最想知道的問題就是:「Nike TC 7900 好穿嗎?」實際體驗後,消費者普遍認為這雙鞋兼具舒適度、耐用性與時尚設計,是一雙能兼顧日常與潮流需求的鞋款。本文將從舒適度、顏色選擇與穿搭靈感,以及購買建議三方面,帶你深入了解 TC 7900 的魅力。
Nike TC7900採用厚實中底與柔軟鞋墊,實測能提供良好的緩震效果,讓雙腳在行走時更加輕鬆。特別值得一提的是,它具有實際 增高約 4–5 公分 的效果,不僅提升穿著者的身形比例,也同時保有穩定度。對於經常需要通勤或長時間站立的族群來說,這款鞋提供了足夠的支撐力,減少腳底的壓力。男性消費者尤其喜歡Nike TC 7900男款,因為其鞋底設計厚實,能在日常活動中提供舒適的保護感。雖然它並非專業跑鞋,但在日常生活的實用性上,表現已經相當出色。
目前Nike TC 7900顏色系列涵蓋經典黑白與潮流新色,其中Nike TC 7900穿搭靈感在社群平台討論熱烈。無論搭配牛仔褲或運動套裝,都能展現不同風格。想要獨特感的玩家,也可以鎖定限量配色。 想確認Nike TC 7900正版,最保險的方式就是透過Nike TC 7900台灣官網。目前官網推出「滿2000免運・滿3000折9折・會員日95折」活動,不僅優惠力度大,而且熱門鞋款數量有限,想入手要快! 整體來說,TC7900 Nike 結合舒適度、顏值與潮流設計,無論日常穿搭或休閒活動都能輕鬆駕馭。如果你想查詢最新Nike TC 7900官網價格或限量配色,不妨馬上前往官網,搶先體驗這雙潮流鞋款的魅力。nhakhoasing
Nha khoa Sing Nam Dinh dia chi uy tin cho nu cuoi khoe dep Trong nhung nam tro lai gan day thi nhu cau tim kiem ve cham soc rang tai Nam Định ngày càng phát triển. Người dân không chỉ dừng lại ở việc chữa bệnh lý thông thường mà còn quan tâm đến thẩm mỹ và các giải pháp hiện đại nhằm nâng cao chất lượng cuộc sống. Trong số nhiều cơ sở, nha khoa sing nam định đã trở thành lựa chọn nổi bật nhờ đội ngũ chuyên gia uy tín, trang thiết bị tiên tiến và dịch vụ đa dạng. Bài viết này sẽ giúp bạn hiểu rõ hơn về lý do Nha khoa Sing được tin chọn, đồng thời cung cấp các thông tin hữu ích để bạn lựa chọn đúng địa chỉ nha khoa phù hợp.
Xu hướng chăm sóc răng miệng tại Nam Định Nam Định là một tỉnh có truyền thống hiếu học, đời sống văn hóa phong phú và sự phát triển kinh tế ổn định. Cùng với mức sống ngày càng cao, nhu cầu chăm sóc răng miệng của người dân cũng thay đổi rõ rệt. Họ không chỉ tìm đến nha khoa ở nam định khi gặp vấn đề cấp bách mà còn chủ động khám định kỳ, làm đẹp răng và thực hiện các dịch vụ thẩm mỹ nha khoa. Từ người trẻ tuổi mong muốn nụ cười tự tin, đến người lớn tuổi cần phục hồi chức năng ăn nhai, nhu cầu đa dạng này đã thúc đẩy sự phát triển mạnh mẽ của ngành nha khoa tại địa phương. Các phòng khám không ngừng đầu tư về công nghệ và chuyên môn để đáp ứng. Trong đó, nha khoa nam định uy tín như Nha khoa Sing luôn giữ vai trò tiên phong.
Vì sao nên chọn nha khoa uy tín? Không phải mọi cơ sở nha khoa đều có chất lượng giống nhau. Khi tìm kiếm địa chỉ điều trị và thẩm mỹ răng miệng, bạn cần chú ý đến các tiêu chí sau để đảm bảo an toàn và hiệu quả. Đội ngũ bác sĩ chuyên nghiệp Một cơ sở uy tín phải có bác sĩ được đào tạo bài bản, chứng chỉ hành nghề rõ ràng và kinh nghiệm lâm sàng vững vàng. Điều này đặc biệt quan trọng trong các dịch vụ phức tạp như implant hay chỉnh nha. Trang thiết bị hiện đại Máy chụp CT Cone Beam 3D, máy quét dấu răng Itero hay hệ thống vô trùng khép kín là minh chứng cho sự chuyên nghiệp. Công nghệ tiên tiến giúp chẩn đoán chính xác, rút ngắn thời gian và giảm thiểu rủi ro. Quy trình điều trị khoa học Một nha khoa sing nam định uy tín phải xây dựng quy trình chuẩn quốc tế từ khâu thăm khám, tư vấn đến điều trị và chăm sóc hậu phẫu. Điều này mang lại sự yên tâm và trải nghiệm tốt cho khách hàng.
Dịch vụ toàn diện Ngoài các dịch vụ tổng quát, phòng khám uy tín cần cung cấp đầy đủ dịch vụ chuyên sâu như implant, chỉnh nha, răng sứ thẩm mỹ và nhổ răng khôn an toàn. Các dịch vụ nổi bật tại Nha khoa Sing Nam Định Là địa chỉ uy tín hàng đầu, nha khoa sing nam định mang đến hệ thống dịch vụ toàn diện, đáp ứng nhiều nhu cầu khác nhau của khách hàng. Nha khoa tổng quát Khám răng định kỳ, lấy cao răng, điều trị tủy, trám răng và nhổ răng sữa cho trẻ em là những dịch vụ nền tảng giúp phòng ngừa và phát hiện sớm bệnh lý.
https://6giay.vn/threads/nha-khoa-nam-dinh-hanh-trinh-thay-doi-nu-cuoi-va-cuoc-song.449583/
Nhổ răng khôn an toàn Răng khôn mọc lệch hoặc mọc ngầm thường gây đau nhức và viêm nhiễm. Tại Nha khoa Sing, quy trình nhổ răng khôn được thực hiện bởi bác sĩ giàu kinh nghiệm với công nghệ hiện đại, đảm bảo an toàn và ít biến chứng. Cấy ghép implant Implant là phương pháp tối ưu để thay thế răng mất, giúp khôi phục cả chân răng và thân răng. Nha khoa Sing ứng dụng kỹ thuật tiên tiến, mang lại hiệu quả cao và độ bền lâu dài. Niềng răng – chỉnh nha Dịch vụ chỉnh nha tại đây đa dạng từ mắc cài kim loại, mắc cài sứ đến khay trong suốt Invisalign. Các giải pháp này giúp sắp xếp răng thẳng đều, cải thiện khớp cắn và nâng cao thẩm mỹ nụ cười.
Răng sứ thẩm mỹ Bọc sứ, dán sứ veneer là lựa chọn hàng đầu cho những ai muốn sở hữu hàm răng trắng sáng và hài hòa. Nha khoa Sing sử dụng vật liệu cao cấp, an toàn cho sức khỏe. Nha khoa Sing Nam Định – Uy tín từ đội ngũ bác sĩ đến cơ sở vật chất Điểm mạnh lớn nhất của nha khoa sing nam định chính là đội ngũ chuyên gia đầu ngành và hệ thống cơ sở vật chất chuẩn quốc tế. Tiến sĩ Đặng Vũ Hải – người sáng lập, nguyên Giám đốc Bệnh viện Quân Y 7, là một trong những bác sĩ có uy tín hàng đầu với hơn 30 năm kinh nghiệm. Ông được trao tặng danh hiệu “Thầy thuốc Ưu tú”, khẳng định sự tận tâm và chuyên môn vượt trội. Ngoài ra, các bác sĩ khác trong hệ thống đều được đào tạo bài bản, giàu kinh nghiệm và thường xuyên cập nhật kiến thức mới. Cơ sở vật chất được thiết kế hiện đại, sạch sẽ, theo tiêu chuẩn Singapore. Trang thiết bị đồng bộ, nhập khẩu từ các quốc gia tiên tiến, giúp nâng cao độ chính xác và hiệu quả trong điều trị. Khi nào bạn nên đến nha khoa? Bạn không nên chờ đến khi răng đau nhức mới tìm đến nha khoa ở nam định. Các chuyên gia khuyên rằng bạn nên khám định kỳ 6 tháng/lần để phát hiện sớm bệnh lý. Ngoài ra, bạn nên đến nha khoa ngay khi có các dấu hiệu như chảy máu nướu, hôi miệng kéo dài, răng lung lay, mất răng hay nhu cầu cải thiện thẩm mỹ. Bí quyết chăm sóc răng miệng sau điều trị Sau khi điều trị tại nha khoa nam định, việc chăm sóc tại nhà là yếu tố quyết định đến kết quả lâu dài. Bạn nên: Đánh răng 2 lần/ngày với bàn chải lông mềm.
Sử dụng chỉ nha khoa thay cho tăm để làm sạch kẽ răng.
Hạn chế đồ ngọt, nước có gas và thuốc lá.
Súc miệng bằng dung dịch chuyên dụng theo hướng dẫn của bác sĩ.
Tuân thủ lịch tái khám định kỳ để duy trì hiệu quả.
Lời kết Một nha khoa nam định uy tín sẽ đồng hành cùng bạn trong hành trình bảo vệ sức khỏe răng miệng và kiến tạo nụ cười rạng rỡ. Trong số các lựa chọn, nha khoa sing nam định đã khẳng định được vị thế nhờ đội ngũ bác sĩ chuyên môn cao, công nghệ hiện đại và dịch vụ tận tâm. Hãy chủ động chăm sóc răng miệng và lựa chọn địa chỉ uy tín để giữ nụ cười khỏe đẹp suốt đời.
nhakhoasing
Nha khoa Thai Binh dia chi cham soc rang mieng chat luong va uy tin Nhu cau tim kiem mot dia chi nha khoa uy tin o thai binh dang dang ngay cang tro nen thiet yeu, khi người dân chú trọng nhiều hơn đến sức khỏe răng miệng và thẩm mỹ nụ cười. Không chỉ đơn thuần là điều trị các bệnh lý về răng, nhiều khách hàng còn mong muốn cải thiện ngoại hình và chất lượng cuộc sống thông qua các dịch vụ nha khoa thẩm mỹ và phục hình tiên tiến. Xu hướng chăm sóc răng miệng tại Thái Bình Trong vài năm trở lại đây, nhu cầu đến nha khoa thái bình đã tăng mạnh. Người dân nhận thức rằng việc điều trị muộn có thể dẫn đến biến chứng nghiêm trọng như mất răng, viêm nha chu hay suy giảm khả năng ăn nhai. Do đó, họ chủ động hơn trong việc khám định kỳ, điều trị sớm và đầu tư vào thẩm mỹ nha khoa để nâng cao sự tự tin. Lý do nên chọn nha khoa uy tín tại Thái Bình Không phải cơ sở nào cũng đáp ứng được tiêu chuẩn chất lượng. Một nha khoa ở thái bình uy tín sẽ hội tụ các yếu tố quan trọng sau: Đội ngũ bác sĩ chuyên môn sâu, giàu kinh nghiệm lâm sàng.
Trang thiết bị hiện đại như CT Cone Beam 3D, hệ thống CAD/CAM.
Quy trình vô trùng đạt chuẩn y tế.
Dịch vụ chăm sóc khách hàng chu đáo, tận tâm.
Lựa chọn đúng địa chỉ giúp khách hàng an tâm trong suốt quá trình điều trị, đồng thời đảm bảo kết quả bền vững. Các dịch vụ phổ biến tại nha khoa ở Thái Bình Khám và điều trị cơ bản Bao gồm khám tổng quát, cạo vôi răng, trám răng, điều trị viêm nướu và nha chu. Đây là nền tảng giúp duy trì sức khỏe răng miệng tốt. Niềng răng chỉnh nha Dịch vụ này giúp điều chỉnh răng lệch lạc, hô, móm hoặc chen chúc. Với công nghệ hiện đại, khách hàng có thể lựa chọn mắc cài kim loại, sứ hoặc khay trong suốt.
https://zenwriting.net/nhakhoasing03/nha-khoa-thai-binh-uy-tin-dia-chi-cham-soc-rang-mieng-hien-dai
Bọc răng sứ Nha khoa thái bình hiện nay chú trọng nhiều vào bọc răng sứ thẩm mỹ. Đây là giải pháp khắc phục răng xỉn màu, sứt mẻ, thưa kẽ, đồng thời cải thiện tính thẩm mỹ của nụ cười. Trồng răng implant Kỹ thuật implant giúp phục hồi răng mất với độ bền chắc và chức năng ăn nhai tự nhiên như răng thật. Đây là một trong những dịch vụ đòi hỏi chuyên môn cao và công nghệ hiện đại. Nha khoa thẩm mỹ Ngoài các phương pháp trên, nha khoa ở thái bình còn cung cấp dịch vụ tẩy trắng răng, dán veneer, tạo hình nướu, giúp khách hàng sở hữu nụ cười rạng rỡ và tự tin. Tiêu chí đánh giá nha khoa uy tín Để lựa chọn một nha khoa ở thái bình đáng tin cậy, khách hàng nên cân nhắc: Giấy phép hoạt động minh bạch.
Đội ngũ bác sĩ được đào tạo chính quy, có chứng chỉ chuyên khoa.
Trang thiết bị hiện đại, đảm bảo an toàn.
Chính sách bảo hành dịch vụ rõ ràng.
Nhiều phản hồi tích cực từ khách hàng cũ.
Vai trò của chăm sóc định kỳ Khám định kỳ tại nha khoa thái bình giúp phát hiện sớm các vấn đề tiềm ẩn như sâu răng, viêm lợi, viêm nha chu. Điều này không chỉ tiết kiệm chi phí mà còn giảm thiểu nguy cơ mất răng và biến chứng toàn thân. Lợi ích khi điều trị tại nha khoa chất lượng cao Khi đến nha khoa ở thái bình uy tín, khách hàng nhận được nhiều lợi ích: Quy trình điều trị an toàn, hạn chế đau nhức.
Hiệu quả bền vững nhờ ứng dụng công nghệ hiện đại.
Nụ cười thẩm mỹ, tự nhiên.
Sự chăm sóc tận tình, chuyên nghiệp từ đội ngũ y bác sĩ.
Nha khoa Sing Thái Bình – Lựa chọn lý tưởng Trong số các địa chỉ nổi bật, nha khoa sing thái bình được nhiều khách hàng tin tưởng nhờ hội tụ đầy đủ yếu tố: đội ngũ bác sĩ giỏi, công nghệ tiên tiến, cơ sở vật chất hiện đại và dịch vụ tận tâm. Là thành viên của hệ thống Nha khoa Sing, cơ sở tại Thái Bình kế thừa tiêu chuẩn quốc tế, mang lại trải nghiệm toàn diện từ điều trị, phục hình đến thẩm mỹ. Đây chính là minh chứng rõ rệt cho một nha khoa thái bình uy tín. Kinh nghiệm lựa chọn nha khoa tại Thái Bình Để chọn đúng cơ sở, khách hàng nên: Tìm hiểu thông tin trên website, fanpage chính thống.
https://scrapbox.io/nhakhoasing03/Nha_khoa_Sing_Thai_Binh_Dia_chi_cham_soc_rang_mieng
Đọc đánh giá từ khách hàng cũ để có góc nhìn khách quan.
Đến trực tiếp để kiểm tra cơ sở vật chất, trang thiết bị.
Thảo luận rõ ràng với bác sĩ về lộ trình điều trị.
Lời khuyên chăm sóc sau điều trị Sau khi thăm khám tại nha khoa ở thái bình, khách hàng cần chú ý: Đánh răng 2 lần/ngày bằng bàn chải lông mềm.
Sử dụng chỉ nha khoa hoặc máy tăm nước.
Hạn chế đồ ngọt, nước có gas và thuốc lá.
Tái khám định kỳ 6 tháng/lần.
Kết luận Việc lựa chọn một địa chỉ nha khoa ở thái bình uy tín đóng vai trò quan trọng trong việc bảo vệ sức khỏe răng miệng và nâng cao chất lượng cuộc sống. Trong số nhiều cơ sở tại địa phương, nha khoa sing thái bình nổi bật nhờ chuyên môn cao, công nghệ hiện đại và dịch vụ tận tâm. Đây là điểm đến lý tưởng cho những ai mong muốn sở hữu nụ cười khỏe đẹp và tự tin.
testing4success
Why Website QA Is the Cornerstone of Seamless Online Experiences
Imagine navigating a website that freezes mid-click, misplaces critical buttons, or crashes during checkout. Frustrating, right? This is where website QA steps in—not as an optional task, but as the backbone of a smooth, engaging online presence. While many businesses invest heavily in design and content, the invisible layer of quality assurance ensures that every interaction feels effortless and intuitive.
Website QA is no longer a behind-the-scenes process; it shapes user perception and determines whether visitors convert into loyal customers. Companies that underestimate QA risk losing credibility, trust, and revenue. By combining usability testing platform tools with rigorous testing protocols, modern QA teams uncover flaws before they impact real users, allowing businesses to deliver flawless experiences.
The Power of Website Usability Testing
One of the most critical elements of website qa is website usability testing. Unlike traditional testing, which focuses on code or functionality alone, usability testing examines the human perspective. Are navigation menus intuitive? Can users find information effortlessly? Does the interface feel natural across devices?
A strong usability testing platform allows QA teams to simulate real-world scenarios. For instance, users can be observed completing specific tasks, and their interactions can be analyzed for friction points. This process not only identifies errors but also reveals areas for enhancement, making the website more engaging and efficient.
Automated Software Testing Services: Efficiency and Accuracy
Manual testing can uncover many issues, but as websites grow in complexity, manual efforts alone cannot ensure comprehensive quality. This is where automated software testing services shine. Automation tools can repeatedly test features, validate workflows, and monitor performance at scale, drastically reducing human error.
For example, automated scripts can verify login processes, payment gateways, or form submissions across different browsers and devices. These tools ensure that every user encounters the same seamless experience, regardless of their platform. When integrated with a usability testing platform, automation amplifies QA efficiency and provides actionable insights faster than ever before.
Embracing Wearable Technology Testing
The rise of smartwatches, fitness trackers, and other connected devices has expanded the definition of a digital experience. Websites are no longer accessed solely through desktops or smartphones; users increasingly interact through wearable technology. Ensuring compatibility and functionality across these devices requires specialized wearable technology testing.
QA teams now test interfaces for smaller screens, voice commands, and sensor-driven interactions. This level of testing guarantees that whether a visitor checks notifications on a smartwatch or browses on a tablet, the experience remains fluid and consistent. Integrating wearable testing into a comprehensive QA strategy ensures that businesses remain ahead in a device-diverse world.
Benefits of Robust Website QA
Improved User Satisfaction – QA identifies frustrating elements that may cause users to abandon a site. By addressing these, businesses enhance engagement and retention.
Reduced Operational Costs – Fixing issues before launch is far less expensive than addressing errors post-release. Automated testing, in particular, minimizes repetitive tasks and accelerates deployment.
Enhanced Brand Reputation – Users associate a smooth, bug-free website with reliability. Strong QA reinforces trust and strengthens brand credibility.
Cross-Device Consistency – From desktops to wearable technology, QA ensures that design and functionality remain cohesive, preventing fragmented user experiences.
Data-Driven Improvements – Tools within a usability testing platform provide insights on behavior, preferences, and pain points, helping teams make informed decisions for future updates.
Integrating QA Into Development
To maximize the impact of website QA, it must be integrated from the early stages of development. Waiting until the site is complete often leads to overlooked issues and costly rework. Agile teams now embed QA into every sprint, combining automated software testing services with hands-on usability testing.
This integration allows developers to detect errors immediately, make swift corrections, and validate fixes across platforms. Continuous testing pipelines ensure that each update maintains high quality, preventing regressions and sustaining user confidence.
Choosing the Right Tools
Selecting the appropriate usability testing platform and automated software testing services is crucial for effective QA. Platforms should offer robust analytics, real-time feedback, and multi-device compatibility. Automation tools must be flexible, scalable, and able to integrate with existing development environments.
Moreover, businesses should not overlook the growing importance of wearable technology testing. Platforms that accommodate a range of devices, screen sizes, and interaction modes ensure that QA remains comprehensive, reflecting the evolving ways users engage with digital content.
Future Trends in Website QA
As digital experiences continue to evolve, QA strategies are also shifting. Artificial intelligence is increasingly being applied to predict potential usability issues, automate complex test scenarios, and even simulate user behavior patterns. Meanwhile, the proliferation of Internet of Things (IoT) devices means that wearable technology testing will become a standard component of QA rather than an optional add-on.
The demand for seamless, error-free online interactions will only grow. Companies that embrace comprehensive website QA, combining website usability testing, automated software testing services, and wearable technology testing, will stay ahead in providing exceptional digital experiences.
Conclusion
Website QA is not just a technical requirement—it is a strategic investment in user experience, brand loyalty, and operational efficiency. Through careful website usability testing, robust automation, and forward-looking device testing, businesses can ensure their digital presence is resilient, intuitive, and adaptable. In a landscape where every click counts, investing in website qa is the difference between a website that frustrates users and one that delights them.
By prioritizing usability, embracing automation, and preparing for emerging technologies like wearable technology, organizations can create online environments that are as functional as they are memorable. Quality assurance is no longer a background process; it is the foundation upon which modern digital success is built.
nhakhoasing
Nha khoa Hai Duong hanh trinh chi mai thay doi nu cuoi tai Sing Tim kiem mot nha khoa o hai duong uy tin khong he de dang dac biet la khi nhu cầu làm đẹp răng miệng ngày càng tăng. Câu chuyện của chị Mai, 29 tuổi, nhân viên ngân hàng tại Hải Dương, sẽ giúp bạn hiểu rõ hơn giá trị của việc lựa chọn đúng địa chỉ.
Nỗi lo từ hàm răng xỉn màu Công việc thường xuyên tiếp xúc khách hàng khiến chị Mai luôn mong muốn có một nụ cười tự tin. Thế nhưng, thói quen uống cà phê và trà đã khiến răng chị bị xỉn màu nặng. Nhiều lần chị thử dùng kem đánh răng làm trắng hoặc các mẹo dân gian, nhưng hiệu quả không rõ rệt. Điều đó khiến chị ngại cười khi gặp gỡ khách hàng, thậm chí ảnh hưởng đến sự tự tin trong công việc. Sau khi tìm hiểu thông tin trên mạng và được bạn bè giới thiệu, chị quyết định đến một nha khoa hải dương để tư vấn. Trong số nhiều cơ sở, chị chọn Sing vì thấy nhiều phản hồi tích cực và được đánh giá là một trong những địa chỉ uy tín hàng đầu.
Trải nghiệm tại nha khoa Sing Hải Dương Ngay khi bước vào Sing, chị Mai ấn tượng bởi không gian sạch sẽ, hiện đại và đội ngũ nhân viên thân thiện. Bác sĩ tiến hành kiểm tra tổng quát, chụp hình và phân tích tình trạng răng. Kết quả cho thấy men răng của chị khỏe nhưng bị nhiễm màu do thói quen ăn uống. Bác sĩ tư vấn cho chị phương pháp tẩy trắng răng bằng công nghệ laser, đảm bảo hiệu quả nhanh, an toàn và ít ê buốt. Điều khiến chị an tâm là bác sĩ giải thích cặn kẽ quy trình, đồng thời mô phỏng trước màu sắc răng sau khi tẩy để chị hình dung rõ ràng.
Quá trình tẩy trắng diễn ra như thế nào? Quy trình tẩy trắng răng tại nha khoa Sing Hải Dương chỉ kéo dài khoảng 60 phút. Bác sĩ vệ sinh răng miệng, cách ly nướu để bảo vệ, sau đó thoa thuốc tẩy trắng và chiếu ánh sáng laser. Chị Mai chia sẻ: “Tôi lo sẽ đau hoặc ê buốt, nhưng thực tế chỉ hơi tê nhẹ lúc cuối. Khi soi gương, tôi thật sự bất ngờ vì răng trắng sáng đều màu, nhìn rất tự nhiên.” Sự thay đổi sau điều trị Sau khi hoàn tất, nụ cười của chị Mai thay đổi rõ rệt. Răng trắng sáng giúp gương mặt chị rạng rỡ hơn. Khi đi làm, chị cảm thấy tự tin trong mọi cuộc gặp gỡ khách hàng. Đồng nghiệp cũng nhận xét chị cười nhiều và thoải mái hơn trước. Chị vui mừng chia sẻ: “Tôi từng nghĩ việc tẩy trắng chỉ là làm đẹp bên ngoài, nhưng thực sự nó còn mang lại cho tôi sự tự tin trong công việc và cuộc sống. Quyết định đến Sing là lựa chọn sáng suốt.” Góc nhìn của bác sĩ Theo bác sĩ tại Sing, trường hợp của chị Mai là điển hình cho nhiều khách hàng hiện nay tại Hải Dương. Rất nhiều người có răng bị xỉn màu do thói quen ăn uống. Công nghệ laser hiện đại không chỉ giúp cải thiện màu sắc nhanh chóng mà còn đảm bảo an toàn, không làm hại men răng. Đây là lý do nhiều khách hàng tìm đến Sing khi muốn cải thiện nụ cười.
Dịch vụ đa dạng tại nha khoa ở Hải Dương uy tín Không chỉ có tẩy trắng, Sing còn cung cấp nhiều dịch vụ khác đáp ứng nhu cầu từ cơ bản đến thẩm mỹ cao cấp: Niềng răng chỉnh nha: khắc phục răng lệch lạc, hô, móm.
Bọc răng sứ: cải thiện màu sắc, hình dáng răng, bền đẹp lâu dài.
Dán veneer: ít mài răng, giữ vẻ tự nhiên.
Điều trị bệnh lý: trám răng, chữa tủy, điều trị nha chu.
Sự đa dạng này giúp Sing trở thành một trong những nha khoa hải dương toàn diện và uy tín.
Vì sao nhiều khách hàng tin chọn Sing? Đội ngũ bác sĩ giàu kinh nghiệm, chuyên môn vững.
Công nghệ tiên tiến, cập nhật xu hướng nha khoa hiện đại.
Quy trình vô trùng nghiêm ngặt, an toàn tuyệt đối.
Tư vấn minh bạch, chi phí rõ ràng, không phát sinh bất ngờ.
Chăm sóc khách hàng tận tâm, theo sát cả sau khi kết thúc điều trị.
Chính những điểm mạnh này khiến nha khoa Sing Hải Dương trở thành cái tên quen thuộc với nhiều gia đình tại địa phương. Xu hướng nha khoa tại Hải Dương Khách hàng tại Hải Dương không còn chỉ quan tâm đến điều trị khi gặp bệnh lý mà đã chủ động tìm đến nha khoa để làm đẹp. Các dịch vụ thẩm mỹ như tẩy trắng laser, niềng Invisalign, bọc sứ, veneer đang ngày càng phổ biến. Đồng thời, phụ huynh cũng chú trọng đưa con đi khám từ nhỏ để phòng ngừa bệnh lý và chỉnh nha sớm. Sing là một trong những nha khoa ở Hải Dương tiên phong đáp ứng xu hướng này, với giải pháp phù hợp cho mọi lứa tuổi. Chi phí dịch vụ tại Hải Dương Chi phí nha khoa ở Hải Dương được đánh giá hợp lý so với mặt bằng chung. Các dịch vụ cơ bản như lấy cao răng, trám răng phù hợp với nhiều người. Trong khi đó, dịch vụ thẩm mỹ như bọc sứ, veneer, Invisalign có chi phí cao hơn do yêu cầu kỹ thuật và công nghệ. Tuy nhiên, lựa chọn một nha khoa hải dương uy tín như Sing sẽ giúp khách hàng yên tâm về chất lượng và kết quả lâu dài.
Kết luận Câu chuyện của chị Mai là minh chứng rằng việc tìm đúng một nha khoa ở Hải Dương uy tín có thể thay đổi nụ cười và cả sự tự tin. Với đội ngũ bác sĩ giỏi, công nghệ hiện đại và dịch vụ tận tâm, nha khoa Sing Hải Dương xứng đáng là địa chỉ hàng đầu cho những ai mong muốn sở hữu nụ cười rạng rỡ và khỏe đẹp.
nhakhoasing
Nha khoa Sing Hai Duong diem den cho nu cuoi khoe dep va tu tin
Trong so vo so lua chon nha khoa o hai duong khong phai dia chi nao cung uy tin va dịch vụ khách hàng. Khi tìm kiếm một nơi vừa điều trị bệnh lý răng miệng hiệu quả, vừa mang lại trải nghiệm thoải mái, nhiều người đã lựa chọn nha khoa sing hải dương. Đây là một trong những cơ sở nha khoa tiên phong trong việc đưa công nghệ hiện đại về địa phương, đồng thời quy tụ đội ngũ bác sĩ giàu kinh nghiệm. Bài viết này sẽ giúp bạn hiểu rõ hơn vì sao Nha khoa Sing lại được tin tưởng đến vậy và cách lựa chọn nha khoa hải dương uy tín cho gia đình mình.
Xu hướng phát triển dịch vụ nha khoa tại Hải Dương Trong bối cảnh đời sống ngày càng nâng cao, người dân Hải Dương chú trọng nhiều hơn đến chăm sóc răng miệng. Không chỉ dừng lại ở điều trị các bệnh lý như sâu răng, viêm lợi hay nhổ răng khôn, họ còn quan tâm đến thẩm mỹ và phục hình cao cấp. Các dịch vụ niềng răng, tẩy trắng, bọc sứ, và cấy ghép Implant trở thành lựa chọn phổ biến. Xu hướng này cho thấy rõ nhu cầu tìm kiếm nha khoa hải dương chất lượng ngày một tăng.
https://nhakhoasing03.blogspot.com/2025/09/nha-khoa-hai-duong-lua-chon-uy-tin-cho.html
Vì sao Nha khoa Sing trở thành lựa chọn hàng đầu tại Hải Dương Khi nhắc đến nha khoa sing hải dương, nhiều khách hàng thường nghĩ đến một địa chỉ vừa hiện đại, vừa tận tâm. Có bốn lý do chính giúp Nha khoa Sing tạo được dấu ấn: Đội ngũ bác sĩ chuyên môn cao Đội ngũ bác sĩ tại Nha khoa Sing đều tốt nghiệp từ các trường đại học y khoa danh tiếng, có chứng chỉ chuyên khoa và nhiều năm kinh nghiệm lâm sàng. Đặc biệt, các bác sĩ được đào tạo chuyên sâu về cấy ghép Implant, chỉnh nha và phục hình răng sứ, đảm bảo mọi ca điều trị đều chính xác và hiệu quả.
Trang thiết bị hiện đại Trung tâm được đầu tư hệ thống máy móc tiên tiến như CT Cone Beam 3D, máy scan kỹ thuật số và ghế nha khoa thông minh. Các thiết bị này hỗ trợ bác sĩ chẩn đoán chính xác, rút ngắn thời gian điều trị và giảm đau đớn cho bệnh nhân. Quy trình vô trùng đạt chuẩn quốc tế Một trong những yếu tố tạo nên uy tín cho nha khoa sing hải dương là quy trình vô trùng khép kín. Mỗi bộ dụng cụ được khử khuẩn riêng, khu vực điều trị và khu vực chờ được phân tách, đảm bảo an toàn tuyệt đối cho khách hàng. Dịch vụ đa dạng và chuyên sâu Nha khoa Sing cung cấp hầu hết các dịch vụ hiện đại: nhổ răng khôn, cấy ghép Implant, chỉnh nha, phục hình răng sứ thẩm mỹ, tẩy trắng răng và chăm sóc răng trẻ em. Sự toàn diện này giúp khách hàng dễ dàng lựa chọn dịch vụ phù hợp mà không cần phải di chuyển nhiều nơi.
Các dịch vụ nổi bật tại nha khoa Sing Hải Dương Điều trị nha khoa tổng quát Nha khoa Sing chú trọng khám và điều trị các bệnh lý cơ bản như sâu răng, viêm lợi, chữa tủy, nhổ răng và trám răng thẩm mỹ. Đây là bước nền tảng giúp bảo vệ sức khỏe răng miệng lâu dài. Nha khoa thẩm mỹ Thẩm mỹ nụ cười là một trong những thế mạnh tại đây. Dịch vụ bọc răng sứ, dán sứ veneer và tẩy trắng bằng công nghệ laser giúp khách hàng có được hàm răng trắng sáng, đều đẹp và tự tin hơn. Niềng răng – chỉnh nha Theo “Contemporary Orthodontics”, niềng răng giúp cải thiện khớp cắn và ngăn ngừa nhiều vấn đề về răng hàm mặt. Tại Nha khoa Sing, khách hàng có thể lựa chọn niềng răng mắc cài kim loại, mắc cài sứ hoặc niềng trong suốt Invisalign, tùy theo nhu cầu và khả năng tài chính.
Cấy ghép Implant Implant là giải pháp thay thế răng mất tối ưu, được đề cập trong “Fundamentals of Fixed Prosthodontics” và “Contemporary Oral and Maxillofacial Surgery”. Tại Nha khoa Sing, kỹ thuật Implant được thực hiện bởi bác sĩ giàu kinh nghiệm cùng vật liệu chính hãng, mang lại hiệu quả bền vững và thẩm mỹ tự nhiên. Nha khoa trẻ em Trẻ em thường gặp các vấn đề như sâu răng sữa, răng mọc lệch, viêm lợi. Các bác sĩ tại Nha khoa Sing có kỹ năng tâm lý, tạo sự thoải mái cho trẻ trong suốt quá trình điều trị, đồng thời hướng dẫn phụ huynh cách chăm sóc răng miệng khoa học cho con. Lợi ích khi lựa chọn nha khoa Sing Hải Dương Việc điều trị và chăm sóc răng miệng tại nha khoa sing hải dương mang lại nhiều lợi ích thiết thực: Được điều trị bởi bác sĩ giỏi, hạn chế tối đa biến chứng.
Trải nghiệm công nghệ hiện đại, rút ngắn thời gian và giảm đau.
An toàn tuyệt đối nhờ quy trình vô trùng nghiêm ngặt.
Dịch vụ toàn diện, đáp ứng nhu cầu từ cơ bản đến chuyên sâu.
Sở hữu nụ cười thẩm mỹ, nâng cao sự tự tin trong công việc và cuộc sống.
Bí quyết chăm sóc răng miệng sau khi điều trị Sau khi sử dụng dịch vụ tại nha khoa hải dương nói chung hay Nha khoa Sing nói riêng, bạn nên duy trì các thói quen sau: Chải răng ít nhất 2 lần/ngày với bàn chải lông mềm.
Sử dụng chỉ nha khoa hoặc máy tăm nước để làm sạch kẽ răng.
Tránh đồ ăn quá cứng hoặc quá ngọt, đặc biệt sau khi trám, bọc hoặc cấy ghép.
Tái khám định kỳ 6 tháng/lần để phát hiện sớm các vấn đề. Theo “Contemporary Oral and Maxillofacial Surgery”, tuân thủ hướng dẫn chăm sóc sau nhổ răng hoặc Implant giúp rút ngắn thời gian hồi phục và giảm nguy cơ viêm nhiễm.
Nha khoa Sing Hải Dương trong lòng khách hàng Không ít khách hàng sau khi trải nghiệm tại đây đã đánh giá cao thái độ tận tâm, không gian hiện đại và kết quả điều trị bền vững. Chính sự kết hợp giữa tay nghề bác sĩ, công nghệ tiên tiến và dịch vụ chăm sóc tận tình đã giúp nha khoa sing hải dương trở thành lựa chọn ưu tiên của nhiều người dân. Kết luận Trong hành trình tìm kiếm một nha khoa ở hải dương đáng tin cậy, bạn cần cân nhắc nhiều yếu tố: bác sĩ, công nghệ, dịch vụ và trải nghiệm thực tế. Một nha khoa hải dương uy tín không chỉ mang lại hiệu quả điều trị mà còn giúp bạn yên tâm trong suốt quá trình chăm sóc răng miệng. Trong số đó, nha khoa sing hải dương nổi bật với hệ thống cơ sở vật chất hiện đại, đội ngũ bác sĩ chuyên môn cao và dịch vụ toàn diện, xứng đáng là nơi gửi gắm niềm tin của bạn và gia đình.
nhakhoasing
Trong implant Phuong phap phuc hinh rang mat hien dai va an toan Mat rang khong chi anh huong toi tham my ma con lien quan truc tiep về sức khỏe răng miệng như tiêu xương hàm, sai khớp cắn, giảm khả năng ăn nhai. Giữa nhiều phương pháp phục hình hiện nay, trồng implant được đánh giá là giải pháp tối ưu bởi khả năng khôi phục răng mất gần như răng thật cả về hình dáng lẫn chức năng. Đây là công nghệ hiện đại, mang lại sự bền vững lâu dài, giúp bệnh nhân lấy lại nụ cười tự tin và nâng cao chất lượng cuộc sống. Trồng implant là gì và cơ chế hoạt động Trồng răng cấy ghép implant là kỹ thuật đặt trụ titanium vào xương hàm, thay thế cho chân răng thật đã mất. Sau một thời gian tích hợp xương, trụ sẽ gắn chặt với mô xương, tạo nền tảng để bác sĩ phục hình mão sứ bên trên.
Theo “Fundamentals of Fixed Prosthodontics”, Implant không chỉ phục hình răng mất mà còn có tác dụng duy trì cấu trúc xương, ngăn ngừa tiêu xương và biến dạng khuôn mặt. Đây là điểm vượt trội so với cầu răng hoặc hàm giả tháo lắp. Vì sao trồng implant được nhiều người lựa chọn Phục hồi chức năng ăn nhai tối ưu Trụ Implant tích hợp với xương hàm tạo nên độ vững chắc, cho phép bệnh nhân ăn nhai thoải mái mà không lo lung lay hay rơi rớt. Đảm bảo thẩm mỹ tự nhiên Mão sứ gắn trên Implant được thiết kế có màu sắc và hình dáng tương tự răng thật, khó nhận biết sự khác biệt. Ngăn chặn tiêu xương hàm Mất răng lâu ngày khiến xương hàm tiêu dần. Trồng răng implant kích thích xương phát triển, giữ vững hình dáng gương mặt.
Tuổi thọ cao Với chế độ chăm sóc tốt, Implant có thể duy trì trên 20 năm hoặc trọn đời, vượt trội hơn nhiều phương pháp phục hình khác. Bảo tồn răng thật Khác với cầu răng phải mài răng kế cận, Implant tồn tại độc lập, giữ nguyên cấu trúc răng lân cận. Đối tượng phù hợp để trồng implant Phương pháp này áp dụng cho nhiều trường hợp khác nhau: Người mất một hoặc nhiều răng do tai nạn, sâu răng, bệnh lý.
Người mất toàn bộ răng muốn phục hình cố định thay cho hàm giả tháo lắp.
Người muốn giải pháp lâu dài, bền chắc và đảm bảo thẩm mỹ.
Tuy nhiên, một số bệnh nhân có bệnh lý toàn thân phức tạp như tiểu đường không kiểm soát, tim mạch nặng hoặc loãng xương cần được bác sĩ thăm khám kỹ trước khi thực hiện.
Quy trình trồng implant đạt chuẩn y khoa Để đạt hiệu quả tối ưu, một ca Implant thường trải qua các bước sau: Khám tổng quát và chụp CT Cone Beam 3D: Đánh giá mật độ xương hàm và vị trí cần cấy ghép.
Lập kế hoạch điều trị: Dựa trên dữ liệu phân tích để xác định số lượng và vị trí trụ.
Phẫu thuật đặt trụ Implant: Được thực hiện trong điều kiện vô trùng tuyệt đối.
Thời gian chờ tích hợp xương: Khoảng 3–6 tháng để trụ ổn định.
Lắp abutment và mão sứ: Hoàn thiện chiếc răng nhân tạo có chức năng và thẩm mỹ như răng thật.
Các phương pháp trồng implant phổ biến Implant đơn lẻ: Dành cho người mất một răng.
Cầu răng Implant: Sử dụng nhiều trụ để phục hình răng mất liên tiếp.
All-on-4 hoặc All-on-6: Giải pháp cho mất răng toàn hàm với số lượng trụ tối ưu.
So sánh trồng implant với các phương pháp khác So với cầu răng: Implant không cần mài răng thật và có tuổi thọ cao hơn.
So với hàm giả tháo lắp: Implant cố định, không gây vướng víu, thẩm mỹ vượt trội.
So với veneer hoặc trám răng: Implant dành cho mất răng, trong khi veneer và trám chỉ cải thiện khuyết điểm nhẹ.
Các yếu tố quyết định thành công của Implant Chuyên môn bác sĩ: Đòi hỏi kỹ năng và kinh nghiệm cao.
Chất lượng vật liệu: Trụ titanium chính hãng giúp tăng độ bền và tính an toàn.
Trang thiết bị: Công nghệ chẩn đoán và phẫu thuật hiện đại hỗ trợ tối đa.
Chăm sóc sau điều trị: Vệ sinh đúng cách và tái khám định kỳ để duy trì kết quả.
Nha khoa Sing – Địa chỉ uy tín cho trồng implant Trong số nhiều địa chỉ nha khoa, Nha khoa Sing nổi bật với đội ngũ bác sĩ có chuyên môn sâu, ứng dụng công nghệ hiện đại và quy trình đạt chuẩn quốc tế. Chính vì vậy, trồng răng implant nha khoa sing được khách hàng tin tưởng và lựa chọn. Tại Nha khoa Sing, mỗi bệnh nhân đều được lập kế hoạch điều trị cá nhân hóa, đảm bảo kết quả phục hình bền chắc, an toàn và thẩm mỹ. Đây là một trong những cơ sở hàng đầu trong lĩnh vực trồng răng cấy ghép implant. Cách chăm sóc sau khi trồng implant Để Implant duy trì bền lâu, bệnh nhân nên: Đánh răng đều đặn bằng bàn chải mềm.
Sử dụng chỉ nha khoa hoặc máy tăm nước.
Hạn chế hút thuốc lá và rượu bia.
Ăn uống lành mạnh, tránh đồ quá cứng.
Tái khám định kỳ theo lịch hẹn.
Sai lầm thường gặp về trồng implant Nghĩ rằng Implant có thể thực hiện ngay mà không cần kiểm tra sức khỏe tổng quát.
Sợ đau quá mức khi phẫu thuật, trong khi thực tế quá trình diễn ra nhẹ nhàng với gây tê hiện đại.
Không chăm sóc răng miệng và tái khám, dẫn đến nguy cơ biến chứng quanh trụ.
Kết luận Trồng implant là phương pháp phục hình răng mất hiện đại, mang lại lợi ích toàn diện về thẩm mỹ, chức năng và sức khỏe lâu dài. Với khả năng khôi phục ăn nhai, ngăn tiêu xương hàm và tuổi thọ cao, trồng răng implant ngày càng được tin tưởng và lựa chọn rộng rãi. Trong đó, trồng răng implant nha khoa sing nổi bật nhờ chuyên môn bác sĩ, công nghệ tiên tiến và dịch vụ tận tâm, giúp khách hàng yên tâm lấy lại nụ cười bền đẹp. Nếu bạn đang tìm kiếm giải pháp phục hình răng mất tối ưu, Implant chính là lựa chọn xứng đáng để đầu tư cho sức khỏe và sự tự tin của bản thân.
nhakhoasing
Nha khoa Nam Dinh giai phap nhung thac mac thuong gap cua khach hang Trong qua trinh tim hieu cung nhu la lua chon nha khoa uy tin Nam Dinh. Nhiều khách hàng thường có không ít băn khoăn. Từ việc đi khám bao lâu một lần, chi phí ra sao cho đến việc chọn địa chỉ nào uy tín, tất cả đều ảnh hưởng đến quyết định cuối cùng. Bài viết dưới đây sẽ giải đáp chi tiết những thắc mắc phổ biến để giúp bạn yên tâm hơn khi đi khám và điều trị răng miệng.
Bao lâu nên đi khám răng một lần? Theo các chuyên gia, bạn nên khám răng định kỳ 6 tháng/lần để kịp thời phát hiện và xử lý các vấn đề như sâu răng, viêm nướu, cao răng tích tụ. Với những người có nguy cơ cao như hút thuốc lá, uống cà phê thường xuyên hoặc có tiền sử viêm nha chu, nên đi khám 3–4 tháng/lần. Các phòng khám nha khoa ở Nam Định hiện nay đều cung cấp dịch vụ khám định kỳ và lấy cao răng, giúp khách hàng duy trì sức khỏe răng miệng ổn định lâu dài.
Lấy cao răng có làm hỏng men răng không? Một lo ngại thường gặp là lấy cao răng sẽ mài mòn men răng. Thực tế, nếu thực hiện bằng công nghệ siêu âm hiện đại, quá trình này hoàn toàn an toàn. Không chỉ không làm hỏng răng, lấy cao răng còn giúp loại bỏ mảng bám, ngăn ngừa viêm nướu và hôi miệng. Tại nha khoa Sing Nam Định, khách hàng được trải nghiệm công nghệ lấy cao răng nhẹ nhàng, nhanh chóng và đảm bảo an toàn tuyệt đối. Niềng răng có đau và mất nhiều thời gian không? Niềng răng chắc chắn sẽ gây cảm giác căng tức trong thời gian đầu, nhưng mức độ không quá nghiêm trọng. Hiện nay, ngoài phương pháp mắc cài kim loại truyền thống, còn có mắc cài sứ và niềng trong suốt Invisalign giúp tăng tính thẩm mỹ, tiện lợi hơn nhiều.
https://684651b0c2793.site123.me/blog/nha-khoa-nam-dinh-nha-khoa-sing-cham-soc-rang-mieng-chat-luong
Tại các cơ sở nha khoa Nam Định, quá trình niềng răng thường kéo dài từ 1,5 – 3 năm tùy tình trạng, nhưng khách hàng sẽ được theo dõi sát sao để đảm bảo kết quả tối ưu.
Tẩy trắng răng có gây ê buốt không? Tẩy trắng răng bằng công nghệ laser hiện đại có thể gây ê nhẹ trong 1–2 ngày đầu, nhưng sẽ nhanh chóng biến mất. Quan trọng là khách hàng cần chọn địa chỉ uy tín, sử dụng thuốc tẩy trắng an toàn. Nhiều khách hàng sau khi tẩy trắng tại nha khoa Sing Nam Định đều nhận xét răng trắng sáng tự nhiên, không ê buốt kéo dài, giúp họ tự tin hơn trong giao tiếp. Bọc răng sứ có bền không và có ảnh hưởng đến răng thật không? Bọc răng sứ có tuổi thọ từ 10–15 năm, thậm chí lâu hơn nếu chăm sóc tốt. Phương pháp này vừa cải thiện thẩm mỹ vừa bảo vệ răng thật bên trong. Điều quan trọng là phải được thực hiện bởi bác sĩ giỏi và vật liệu sứ chất lượng. Các phòng khám nha khoa ở Nam Định hiện nay, đặc biệt là Sing, đều áp dụng công nghệ bọc sứ tiên tiến, giúp răng bền đẹp và tự nhiên.
https://6giay.vn/threads/nha-khoa-nam-dinh-hanh-trinh-thay-doi-nu-cuoi-va-cuoc-song.449583/
Cấy ghép implant có đau không? Cấy implant nghe có vẻ phức tạp nhưng thực tế khá nhẹ nhàng nhờ thuốc tê và công nghệ hỗ trợ. Sau vài ngày, khách hàng có thể sinh hoạt bình thường. Implant giúp phục hồi khả năng ăn nhai chắc chắn và thẩm mỹ gần như răng thật. Nhiều người cao tuổi tại nha khoa Sing Nam Định đã lựa chọn implant và hài lòng với kết quả, bởi không còn bất tiện như khi dùng răng giả tháo lắp. Trẻ em có cần đi nha khoa sớm không? Câu trả lời là có. Trẻ từ 3 tuổi nên được khám nha khoa định kỳ để theo dõi răng sữa và phát hiện bất thường. Việc can thiệp sớm giúp tránh những vấn đề như sâu răng, răng mọc lệch hoặc sai khớp cắn. Tại các nha khoa Nam Định, dịch vụ nha khoa trẻ em đang ngày càng phát triển, giúp phụ huynh yên tâm hơn khi đồng hành cùng con.
Chi phí dịch vụ nha khoa tại Nam Định có cao không? Chi phí dịch vụ tại Nam Định nhìn chung hợp lý, thấp hơn so với các thành phố lớn. Các dịch vụ cơ bản như khám, lấy cao răng, trám răng có chi phí phổ thông. Các dịch vụ thẩm mỹ như bọc sứ, implant, niềng răng có mức cao hơn, do yêu cầu kỹ thuật và vật liệu. Điều quan trọng là khách hàng nên ưu tiên chất lượng thay vì chỉ nhìn vào giá. Một cơ sở uy tín như nha khoa Sing Nam Định sẽ đảm bảo kết quả bền vững, tiết kiệm hơn về lâu dài. Vì sao nhiều khách hàng chọn Sing? Sing được xem là một trong những địa chỉ nha khoa Nam Định hàng đầu bởi: Đội ngũ bác sĩ có chuyên môn cao, nhiều kinh nghiệm.
Công nghệ hiện đại: máy CT Conebeam, scan răng 3D, hệ thống vô trùng chuẩn.
Quy trình điều trị minh bạch, chăm sóc sau điều trị tận tâm.
Phản hồi tích cực từ đông đảo khách hàng đã trải nghiệm.
Chính vì vậy, nhiều người dân địa phương đã tin tưởng lựa chọn nha khoa Sing Nam Định để chăm sóc răng miệng cho cả gia đình. Kết luận Những thắc mắc phổ biến khi đi nha khoa đều xoay quanh vấn đề an toàn, hiệu quả và chi phí. Khi được giải đáp rõ ràng, khách hàng sẽ yên tâm hơn để chăm sóc răng miệng định kỳ. Trong bối cảnh hệ thống nha khoa Nam Định ngày càng phát triển, nha khoa Sing Nam Định nổi bật với uy tín, công nghệ và dịch vụ tận tâm. Đây là một trong những nha khoa ở Nam Định đáng tin cậy nhất để bạn đồng hành trong hành trình bảo vệ nụ cười.
nhakhoasing
Nha khoa Thai Binh va hanh trinh thay doi nu cuoi cua khach hang Mot nu cuoi dep co the thay doi cach ban nhin nhan ban than và cả cách người khác nhìn nhận về bạn. Ở Thái Bình, ngày càng nhiều khách hàng đã tìm đến các cơ sở nha khoa Thái Bình để cải thiện sức khỏe răng miệng và sở hữu nụ cười rạng rỡ. Không chỉ đơn thuần là điều trị, hành trình này còn mang tính chất thay đổi cả ngoại hình lẫn sự tự tin trong cuộc sống.
Nụ cười và sự tự tin – mối liên hệ đặc biệt Các nghiên cứu tâm lý đã chỉ ra rằng, những người có nụ cười tự tin thường được đánh giá là thân thiện, dễ gần và chuyên nghiệp hơn. Tuy nhiên, không phải ai cũng may mắn sở hữu hàm răng đều đẹp, trắng sáng. Nhiều người gặp phải tình trạng răng xỉn màu, hô, móm, khấp khểnh hoặc thậm chí mất răng. Đây là lý do dịch vụ thẩm mỹ và phục hình răng ngày càng phổ biến tại nha khoa tại Thái Bình, nơi khách hàng tìm thấy giải pháp toàn diện để thay đổi nụ cười của mình.
Hành trình thay đổi nụ cười của khách hàng Bắt đầu từ sự e ngại Nhiều khách hàng chia sẻ rằng họ từng rất ngại cười vì hàm răng không đẹp. Một nhân viên văn phòng tại thành phố Thái Bình cho biết: “Tôi thường che miệng khi cười vì răng khấp khểnh và ố vàng. Điều đó khiến tôi thiếu tự tin trong giao tiếp và cả công việc.”
Tìm đến nha khoa uy tín Sau thời gian dài do dự, khách hàng quyết định tìm đến một nha khoa thái bình uy tín để được tư vấn. Bác sĩ tiến hành khám tổng quát, chụp X-quang và đưa ra phác đồ điều trị chi tiết. Đây là bước khởi đầu quan trọng, giúp khách hàng hiểu rõ tình trạng răng miệng và các phương pháp có thể áp dụng. Quá trình thay đổi Tùy vào từng trường hợp, bác sĩ có thể đề xuất niềng răng, tẩy trắng, bọc răng sứ hoặc implant. Trong quá trình điều trị, khách hàng được theo dõi sát sao, tư vấn về cách chăm sóc và vệ sinh răng miệng. Dù mất vài tháng hay vài năm, sự kiên trì của khách hàng cùng sự tận tâm của bác sĩ đã mang lại kết quả như mong đợi.
Kết quả và sự tự tin trở lại Sau khi hoàn thành điều trị, khách hàng sở hữu nụ cười đều đẹp, trắng sáng và hài hòa với khuôn mặt. Điều quan trọng hơn cả là họ lấy lại sự tự tin trong giao tiếp, công việc và cuộc sống. Một sinh viên tại huyện Đông Hưng cho biết: “Sau khi niềng răng, tôi tự tin hơn rất nhiều. Tôi không còn ngại nói chuyện trước đám đông và cảm thấy thoải mái khi cười.” Các dịch vụ giúp thay đổi nụ cười tại Thái Bình Niềng răng chỉnh nha Đây là phương pháp phổ biến nhất để khắc phục răng hô, móm, khấp khểnh. Hiện nay, các nha khoa Thái Bình đã áp dụng nhiều kỹ thuật hiện đại như niềng răng sứ, niềng trong suốt, giúp khách hàng vừa chỉnh nha hiệu quả vừa đảm bảo thẩm mỹ.
Tẩy trắng răng bằng laser Răng xỉn màu do cà phê, thuốc lá, trà… có thể được cải thiện nhanh chóng bằng công nghệ tẩy trắng laser. Chỉ sau 1 buổi, khách hàng đã có nụ cười sáng hơn rõ rệt, an toàn và ít ê buốt. Bọc răng sứ thẩm mỹ Đối với những trường hợp răng ố vàng nặng, mòn men hoặc hình dáng không đẹp, bọc răng sứ là giải pháp tối ưu. Bác sĩ sẽ thiết kế màu sắc, hình dáng răng phù hợp với gương mặt, mang lại kết quả tự nhiên và bền chắc.
Cấy ghép implant Mất răng khiến nhiều người tự ti và gặp khó khăn trong ăn nhai. Implant là phương pháp hiện đại giúp phục hình răng chắc chắn, bền lâu như răng thật. Đây là dịch vụ cao cấp, thường chỉ được thực hiện tại nha khoa thái bình uy tín có trang bị công nghệ hiện đại. Yếu tố quyết định sự thành công của hành trình Tay nghề bác sĩ Một bác sĩ giỏi không chỉ có kiến thức chuyên môn mà còn cần sự tinh tế về thẩm mỹ. Họ biết cách thiết kế nụ cười phù hợp với khuôn mặt, tính cách và mong muốn của khách hàng. Trang thiết bị hiện đại Các công nghệ như chụp CT 3D, scan dấu răng kỹ thuật số, phần mềm thiết kế nụ cười Digital Smile Design giúp quá trình điều trị chính xác và nhanh chóng hơn. Sự hợp tác của khách hàng Khách hàng cần kiên trì trong suốt quá trình, đặc biệt là các dịch vụ chỉnh nha kéo dài. Việc tuân thủ chỉ định của bác sĩ, duy trì vệ sinh răng miệng đúng cách sẽ quyết định đến hiệu quả cuối cùng. Lợi ích khi thay đổi nụ cười Tăng sự tự tin trong giao tiếp.
Cải thiện chất lượng công việc và các mối quan hệ xã hội.
Mang lại ngoại hình trẻ trung, rạng rỡ hơn.
Giúp duy trì sức khỏe răng miệng lâu dài, giảm nguy cơ bệnh lý.
Vì sao nên chọn nha khoa Thái Bình thay vì đi xa Nhiều người từng nghĩ rằng chỉ có Hà Nội hoặc TP. Hồ Chí Minh mới có dịch vụ nha khoa chất lượng cao. Nhưng hiện nay, các cơ sở nha khoa tại Thái Bình đã được đầu tư bài bản cả về con người và công nghệ. Khách hàng vừa tiết kiệm thời gian, chi phí đi lại, vừa được theo dõi sát sao hơn nhờ sự thuận tiện trong việc tái khám. Đây là lợi thế lớn để người dân yên tâm lựa chọn dịch vụ ngay tại quê hương. Chi phí dịch vụ thay đổi nụ cười tại Thái Bình Chi phí thay đổi nụ cười phụ thuộc vào phương pháp lựa chọn. Tẩy trắng răng và niềng răng có chi phí phù hợp với sinh viên, nhân viên văn phòng. Bọc sứ và implant có chi phí cao hơn, nhưng đổi lại mang đến hiệu quả lâu dài và thẩm mỹ vượt trội. Điểm đáng mừng là chi phí tại nha khoa Thái Bình nhìn chung hợp lý hơn so với các thành phố lớn, trong khi chất lượng ngày càng tiệm cận. Xu hướng thay đổi nụ cười trong tương lai Trong tương lai, xu hướng thay đổi nụ cười sẽ tập trung vào sự cá nhân hóa. Mỗi khách hàng sẽ được thiết kế nụ cười riêng, phù hợp với đặc điểm gương mặt và phong cách sống. Công nghệ trí tuệ nhân tạo, vật liệu nha khoa sinh học và niềng răng thế hệ mới sẽ sớm được áp dụng tại nha khoa thái bình uy tín, mang lại trải nghiệm hiện đại không thua kém gì các trung tâm lớn. Kết luận Hành trình thay đổi nụ cười không chỉ là quá trình cải thiện thẩm mỹ răng miệng mà còn là hành trình lấy lại sự tự tin và nâng cao chất lượng cuộc sống. Với sự phát triển mạnh mẽ của hệ thống nha khoa Thái Bình, người dân địa phương hoàn toàn có thể tìm thấy giải pháp hiện đại ngay tại quê hương. Việc lựa chọn đúng nha khoa thái bình uy tín sẽ giúp bạn an tâm trên con đường thay đổi bản thân. Một nụ cười rạng rỡ không chỉ mang lại niềm vui cho chính bạn mà còn lan tỏa năng lượng tích cực đến những người xung quanh.




