Make friends on Animal Crossing: New Horizons!
About Animal Crossing: New Horizons About ACJoin the community!
nhakhoasing
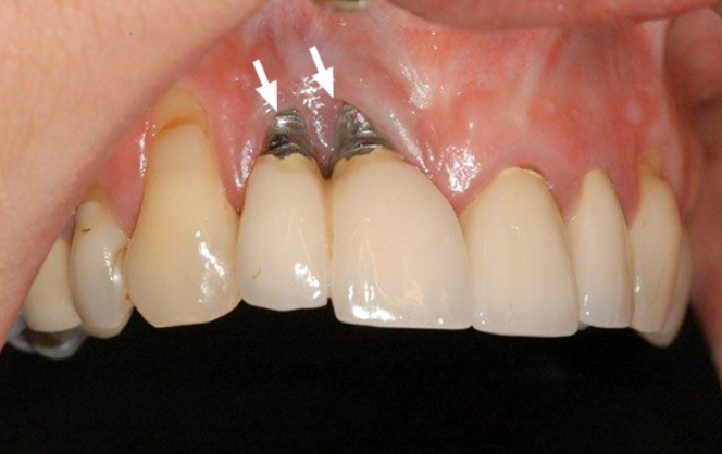
Trong implant Phuong phap phuc hinh rang mat hien dai va an toan Mat rang khong chi anh huong toi tham my ma con lien quan truc tiep về sức khỏe răng miệng như tiêu xương hàm, sai khớp cắn, giảm khả năng ăn nhai. Giữa nhiều phương pháp phục hình hiện nay, trồng implant được đánh giá là giải pháp tối ưu bởi khả năng khôi phục răng mất gần như răng thật cả về hình dáng lẫn chức năng. Đây là công nghệ hiện đại, mang lại sự bền vững lâu dài, giúp bệnh nhân lấy lại nụ cười tự tin và nâng cao chất lượng cuộc sống. Trồng implant là gì và cơ chế hoạt động Trồng răng cấy ghép implant là kỹ thuật đặt trụ titanium vào xương hàm, thay thế cho chân răng thật đã mất. Sau một thời gian tích hợp xương, trụ sẽ gắn chặt với mô xương, tạo nền tảng để bác sĩ phục hình mão sứ bên trên.
Theo “Fundamentals of Fixed Prosthodontics”, Implant không chỉ phục hình răng mất mà còn có tác dụng duy trì cấu trúc xương, ngăn ngừa tiêu xương và biến dạng khuôn mặt. Đây là điểm vượt trội so với cầu răng hoặc hàm giả tháo lắp. Vì sao trồng implant được nhiều người lựa chọn Phục hồi chức năng ăn nhai tối ưu Trụ Implant tích hợp với xương hàm tạo nên độ vững chắc, cho phép bệnh nhân ăn nhai thoải mái mà không lo lung lay hay rơi rớt. Đảm bảo thẩm mỹ tự nhiên Mão sứ gắn trên Implant được thiết kế có màu sắc và hình dáng tương tự răng thật, khó nhận biết sự khác biệt. Ngăn chặn tiêu xương hàm Mất răng lâu ngày khiến xương hàm tiêu dần. Trồng răng implant kích thích xương phát triển, giữ vững hình dáng gương mặt.
Tuổi thọ cao Với chế độ chăm sóc tốt, Implant có thể duy trì trên 20 năm hoặc trọn đời, vượt trội hơn nhiều phương pháp phục hình khác. Bảo tồn răng thật Khác với cầu răng phải mài răng kế cận, Implant tồn tại độc lập, giữ nguyên cấu trúc răng lân cận. Đối tượng phù hợp để trồng implant Phương pháp này áp dụng cho nhiều trường hợp khác nhau: Người mất một hoặc nhiều răng do tai nạn, sâu răng, bệnh lý.
Người mất toàn bộ răng muốn phục hình cố định thay cho hàm giả tháo lắp.
Người muốn giải pháp lâu dài, bền chắc và đảm bảo thẩm mỹ.
Tuy nhiên, một số bệnh nhân có bệnh lý toàn thân phức tạp như tiểu đường không kiểm soát, tim mạch nặng hoặc loãng xương cần được bác sĩ thăm khám kỹ trước khi thực hiện.
Quy trình trồng implant đạt chuẩn y khoa Để đạt hiệu quả tối ưu, một ca Implant thường trải qua các bước sau: Khám tổng quát và chụp CT Cone Beam 3D: Đánh giá mật độ xương hàm và vị trí cần cấy ghép.
Lập kế hoạch điều trị: Dựa trên dữ liệu phân tích để xác định số lượng và vị trí trụ.
Phẫu thuật đặt trụ Implant: Được thực hiện trong điều kiện vô trùng tuyệt đối.
Thời gian chờ tích hợp xương: Khoảng 3–6 tháng để trụ ổn định.
Lắp abutment và mão sứ: Hoàn thiện chiếc răng nhân tạo có chức năng và thẩm mỹ như răng thật.
Các phương pháp trồng implant phổ biến Implant đơn lẻ: Dành cho người mất một răng.
Cầu răng Implant: Sử dụng nhiều trụ để phục hình răng mất liên tiếp.
All-on-4 hoặc All-on-6: Giải pháp cho mất răng toàn hàm với số lượng trụ tối ưu.
So sánh trồng implant với các phương pháp khác So với cầu răng: Implant không cần mài răng thật và có tuổi thọ cao hơn.
So với hàm giả tháo lắp: Implant cố định, không gây vướng víu, thẩm mỹ vượt trội.
So với veneer hoặc trám răng: Implant dành cho mất răng, trong khi veneer và trám chỉ cải thiện khuyết điểm nhẹ.
Các yếu tố quyết định thành công của Implant Chuyên môn bác sĩ: Đòi hỏi kỹ năng và kinh nghiệm cao.
Chất lượng vật liệu: Trụ titanium chính hãng giúp tăng độ bền và tính an toàn.
Trang thiết bị: Công nghệ chẩn đoán và phẫu thuật hiện đại hỗ trợ tối đa.
Chăm sóc sau điều trị: Vệ sinh đúng cách và tái khám định kỳ để duy trì kết quả.
Nha khoa Sing – Địa chỉ uy tín cho trồng implant Trong số nhiều địa chỉ nha khoa, Nha khoa Sing nổi bật với đội ngũ bác sĩ có chuyên môn sâu, ứng dụng công nghệ hiện đại và quy trình đạt chuẩn quốc tế. Chính vì vậy, trồng răng implant nha khoa sing được khách hàng tin tưởng và lựa chọn. Tại Nha khoa Sing, mỗi bệnh nhân đều được lập kế hoạch điều trị cá nhân hóa, đảm bảo kết quả phục hình bền chắc, an toàn và thẩm mỹ. Đây là một trong những cơ sở hàng đầu trong lĩnh vực trồng răng cấy ghép implant. Cách chăm sóc sau khi trồng implant Để Implant duy trì bền lâu, bệnh nhân nên: Đánh răng đều đặn bằng bàn chải mềm.
Sử dụng chỉ nha khoa hoặc máy tăm nước.
Hạn chế hút thuốc lá và rượu bia.
Ăn uống lành mạnh, tránh đồ quá cứng.
Tái khám định kỳ theo lịch hẹn.
Sai lầm thường gặp về trồng implant Nghĩ rằng Implant có thể thực hiện ngay mà không cần kiểm tra sức khỏe tổng quát.
Sợ đau quá mức khi phẫu thuật, trong khi thực tế quá trình diễn ra nhẹ nhàng với gây tê hiện đại.
Không chăm sóc răng miệng và tái khám, dẫn đến nguy cơ biến chứng quanh trụ.
Kết luận Trồng implant là phương pháp phục hình răng mất hiện đại, mang lại lợi ích toàn diện về thẩm mỹ, chức năng và sức khỏe lâu dài. Với khả năng khôi phục ăn nhai, ngăn tiêu xương hàm và tuổi thọ cao, trồng răng implant ngày càng được tin tưởng và lựa chọn rộng rãi. Trong đó, trồng răng implant nha khoa sing nổi bật nhờ chuyên môn bác sĩ, công nghệ tiên tiến và dịch vụ tận tâm, giúp khách hàng yên tâm lấy lại nụ cười bền đẹp. Nếu bạn đang tìm kiếm giải pháp phục hình răng mất tối ưu, Implant chính là lựa chọn xứng đáng để đầu tư cho sức khỏe và sự tự tin của bản thân.
nhakhoasing
Nha khoa Nam Dinh giai phap nhung thac mac thuong gap cua khach hang Trong qua trinh tim hieu cung nhu la lua chon nha khoa uy tin Nam Dinh. Nhiều khách hàng thường có không ít băn khoăn. Từ việc đi khám bao lâu một lần, chi phí ra sao cho đến việc chọn địa chỉ nào uy tín, tất cả đều ảnh hưởng đến quyết định cuối cùng. Bài viết dưới đây sẽ giải đáp chi tiết những thắc mắc phổ biến để giúp bạn yên tâm hơn khi đi khám và điều trị răng miệng.
Bao lâu nên đi khám răng một lần? Theo các chuyên gia, bạn nên khám răng định kỳ 6 tháng/lần để kịp thời phát hiện và xử lý các vấn đề như sâu răng, viêm nướu, cao răng tích tụ. Với những người có nguy cơ cao như hút thuốc lá, uống cà phê thường xuyên hoặc có tiền sử viêm nha chu, nên đi khám 3–4 tháng/lần. Các phòng khám nha khoa ở Nam Định hiện nay đều cung cấp dịch vụ khám định kỳ và lấy cao răng, giúp khách hàng duy trì sức khỏe răng miệng ổn định lâu dài.
Lấy cao răng có làm hỏng men răng không? Một lo ngại thường gặp là lấy cao răng sẽ mài mòn men răng. Thực tế, nếu thực hiện bằng công nghệ siêu âm hiện đại, quá trình này hoàn toàn an toàn. Không chỉ không làm hỏng răng, lấy cao răng còn giúp loại bỏ mảng bám, ngăn ngừa viêm nướu và hôi miệng. Tại nha khoa Sing Nam Định, khách hàng được trải nghiệm công nghệ lấy cao răng nhẹ nhàng, nhanh chóng và đảm bảo an toàn tuyệt đối. Niềng răng có đau và mất nhiều thời gian không? Niềng răng chắc chắn sẽ gây cảm giác căng tức trong thời gian đầu, nhưng mức độ không quá nghiêm trọng. Hiện nay, ngoài phương pháp mắc cài kim loại truyền thống, còn có mắc cài sứ và niềng trong suốt Invisalign giúp tăng tính thẩm mỹ, tiện lợi hơn nhiều.
https://684651b0c2793.site123.me/blog/nha-khoa-nam-dinh-nha-khoa-sing-cham-soc-rang-mieng-chat-luong
Tại các cơ sở nha khoa Nam Định, quá trình niềng răng thường kéo dài từ 1,5 – 3 năm tùy tình trạng, nhưng khách hàng sẽ được theo dõi sát sao để đảm bảo kết quả tối ưu.
Tẩy trắng răng có gây ê buốt không? Tẩy trắng răng bằng công nghệ laser hiện đại có thể gây ê nhẹ trong 1–2 ngày đầu, nhưng sẽ nhanh chóng biến mất. Quan trọng là khách hàng cần chọn địa chỉ uy tín, sử dụng thuốc tẩy trắng an toàn. Nhiều khách hàng sau khi tẩy trắng tại nha khoa Sing Nam Định đều nhận xét răng trắng sáng tự nhiên, không ê buốt kéo dài, giúp họ tự tin hơn trong giao tiếp. Bọc răng sứ có bền không và có ảnh hưởng đến răng thật không? Bọc răng sứ có tuổi thọ từ 10–15 năm, thậm chí lâu hơn nếu chăm sóc tốt. Phương pháp này vừa cải thiện thẩm mỹ vừa bảo vệ răng thật bên trong. Điều quan trọng là phải được thực hiện bởi bác sĩ giỏi và vật liệu sứ chất lượng. Các phòng khám nha khoa ở Nam Định hiện nay, đặc biệt là Sing, đều áp dụng công nghệ bọc sứ tiên tiến, giúp răng bền đẹp và tự nhiên.
https://6giay.vn/threads/nha-khoa-nam-dinh-hanh-trinh-thay-doi-nu-cuoi-va-cuoc-song.449583/
Cấy ghép implant có đau không? Cấy implant nghe có vẻ phức tạp nhưng thực tế khá nhẹ nhàng nhờ thuốc tê và công nghệ hỗ trợ. Sau vài ngày, khách hàng có thể sinh hoạt bình thường. Implant giúp phục hồi khả năng ăn nhai chắc chắn và thẩm mỹ gần như răng thật. Nhiều người cao tuổi tại nha khoa Sing Nam Định đã lựa chọn implant và hài lòng với kết quả, bởi không còn bất tiện như khi dùng răng giả tháo lắp. Trẻ em có cần đi nha khoa sớm không? Câu trả lời là có. Trẻ từ 3 tuổi nên được khám nha khoa định kỳ để theo dõi răng sữa và phát hiện bất thường. Việc can thiệp sớm giúp tránh những vấn đề như sâu răng, răng mọc lệch hoặc sai khớp cắn. Tại các nha khoa Nam Định, dịch vụ nha khoa trẻ em đang ngày càng phát triển, giúp phụ huynh yên tâm hơn khi đồng hành cùng con.
Chi phí dịch vụ nha khoa tại Nam Định có cao không? Chi phí dịch vụ tại Nam Định nhìn chung hợp lý, thấp hơn so với các thành phố lớn. Các dịch vụ cơ bản như khám, lấy cao răng, trám răng có chi phí phổ thông. Các dịch vụ thẩm mỹ như bọc sứ, implant, niềng răng có mức cao hơn, do yêu cầu kỹ thuật và vật liệu. Điều quan trọng là khách hàng nên ưu tiên chất lượng thay vì chỉ nhìn vào giá. Một cơ sở uy tín như nha khoa Sing Nam Định sẽ đảm bảo kết quả bền vững, tiết kiệm hơn về lâu dài. Vì sao nhiều khách hàng chọn Sing? Sing được xem là một trong những địa chỉ nha khoa Nam Định hàng đầu bởi: Đội ngũ bác sĩ có chuyên môn cao, nhiều kinh nghiệm.
Công nghệ hiện đại: máy CT Conebeam, scan răng 3D, hệ thống vô trùng chuẩn.
Quy trình điều trị minh bạch, chăm sóc sau điều trị tận tâm.
Phản hồi tích cực từ đông đảo khách hàng đã trải nghiệm.
Chính vì vậy, nhiều người dân địa phương đã tin tưởng lựa chọn nha khoa Sing Nam Định để chăm sóc răng miệng cho cả gia đình. Kết luận Những thắc mắc phổ biến khi đi nha khoa đều xoay quanh vấn đề an toàn, hiệu quả và chi phí. Khi được giải đáp rõ ràng, khách hàng sẽ yên tâm hơn để chăm sóc răng miệng định kỳ. Trong bối cảnh hệ thống nha khoa Nam Định ngày càng phát triển, nha khoa Sing Nam Định nổi bật với uy tín, công nghệ và dịch vụ tận tâm. Đây là một trong những nha khoa ở Nam Định đáng tin cậy nhất để bạn đồng hành trong hành trình bảo vệ nụ cười.
nhakhoasing
Nha khoa Thai Binh va hanh trinh thay doi nu cuoi cua khach hang Mot nu cuoi dep co the thay doi cach ban nhin nhan ban than và cả cách người khác nhìn nhận về bạn. Ở Thái Bình, ngày càng nhiều khách hàng đã tìm đến các cơ sở nha khoa Thái Bình để cải thiện sức khỏe răng miệng và sở hữu nụ cười rạng rỡ. Không chỉ đơn thuần là điều trị, hành trình này còn mang tính chất thay đổi cả ngoại hình lẫn sự tự tin trong cuộc sống.
Nụ cười và sự tự tin – mối liên hệ đặc biệt Các nghiên cứu tâm lý đã chỉ ra rằng, những người có nụ cười tự tin thường được đánh giá là thân thiện, dễ gần và chuyên nghiệp hơn. Tuy nhiên, không phải ai cũng may mắn sở hữu hàm răng đều đẹp, trắng sáng. Nhiều người gặp phải tình trạng răng xỉn màu, hô, móm, khấp khểnh hoặc thậm chí mất răng. Đây là lý do dịch vụ thẩm mỹ và phục hình răng ngày càng phổ biến tại nha khoa tại Thái Bình, nơi khách hàng tìm thấy giải pháp toàn diện để thay đổi nụ cười của mình.
Hành trình thay đổi nụ cười của khách hàng Bắt đầu từ sự e ngại Nhiều khách hàng chia sẻ rằng họ từng rất ngại cười vì hàm răng không đẹp. Một nhân viên văn phòng tại thành phố Thái Bình cho biết: “Tôi thường che miệng khi cười vì răng khấp khểnh và ố vàng. Điều đó khiến tôi thiếu tự tin trong giao tiếp và cả công việc.”
Tìm đến nha khoa uy tín Sau thời gian dài do dự, khách hàng quyết định tìm đến một nha khoa thái bình uy tín để được tư vấn. Bác sĩ tiến hành khám tổng quát, chụp X-quang và đưa ra phác đồ điều trị chi tiết. Đây là bước khởi đầu quan trọng, giúp khách hàng hiểu rõ tình trạng răng miệng và các phương pháp có thể áp dụng. Quá trình thay đổi Tùy vào từng trường hợp, bác sĩ có thể đề xuất niềng răng, tẩy trắng, bọc răng sứ hoặc implant. Trong quá trình điều trị, khách hàng được theo dõi sát sao, tư vấn về cách chăm sóc và vệ sinh răng miệng. Dù mất vài tháng hay vài năm, sự kiên trì của khách hàng cùng sự tận tâm của bác sĩ đã mang lại kết quả như mong đợi.
Kết quả và sự tự tin trở lại Sau khi hoàn thành điều trị, khách hàng sở hữu nụ cười đều đẹp, trắng sáng và hài hòa với khuôn mặt. Điều quan trọng hơn cả là họ lấy lại sự tự tin trong giao tiếp, công việc và cuộc sống. Một sinh viên tại huyện Đông Hưng cho biết: “Sau khi niềng răng, tôi tự tin hơn rất nhiều. Tôi không còn ngại nói chuyện trước đám đông và cảm thấy thoải mái khi cười.” Các dịch vụ giúp thay đổi nụ cười tại Thái Bình Niềng răng chỉnh nha Đây là phương pháp phổ biến nhất để khắc phục răng hô, móm, khấp khểnh. Hiện nay, các nha khoa Thái Bình đã áp dụng nhiều kỹ thuật hiện đại như niềng răng sứ, niềng trong suốt, giúp khách hàng vừa chỉnh nha hiệu quả vừa đảm bảo thẩm mỹ.
Tẩy trắng răng bằng laser Răng xỉn màu do cà phê, thuốc lá, trà… có thể được cải thiện nhanh chóng bằng công nghệ tẩy trắng laser. Chỉ sau 1 buổi, khách hàng đã có nụ cười sáng hơn rõ rệt, an toàn và ít ê buốt. Bọc răng sứ thẩm mỹ Đối với những trường hợp răng ố vàng nặng, mòn men hoặc hình dáng không đẹp, bọc răng sứ là giải pháp tối ưu. Bác sĩ sẽ thiết kế màu sắc, hình dáng răng phù hợp với gương mặt, mang lại kết quả tự nhiên và bền chắc.
Cấy ghép implant Mất răng khiến nhiều người tự ti và gặp khó khăn trong ăn nhai. Implant là phương pháp hiện đại giúp phục hình răng chắc chắn, bền lâu như răng thật. Đây là dịch vụ cao cấp, thường chỉ được thực hiện tại nha khoa thái bình uy tín có trang bị công nghệ hiện đại. Yếu tố quyết định sự thành công của hành trình Tay nghề bác sĩ Một bác sĩ giỏi không chỉ có kiến thức chuyên môn mà còn cần sự tinh tế về thẩm mỹ. Họ biết cách thiết kế nụ cười phù hợp với khuôn mặt, tính cách và mong muốn của khách hàng. Trang thiết bị hiện đại Các công nghệ như chụp CT 3D, scan dấu răng kỹ thuật số, phần mềm thiết kế nụ cười Digital Smile Design giúp quá trình điều trị chính xác và nhanh chóng hơn. Sự hợp tác của khách hàng Khách hàng cần kiên trì trong suốt quá trình, đặc biệt là các dịch vụ chỉnh nha kéo dài. Việc tuân thủ chỉ định của bác sĩ, duy trì vệ sinh răng miệng đúng cách sẽ quyết định đến hiệu quả cuối cùng. Lợi ích khi thay đổi nụ cười Tăng sự tự tin trong giao tiếp.
Cải thiện chất lượng công việc và các mối quan hệ xã hội.
Mang lại ngoại hình trẻ trung, rạng rỡ hơn.
Giúp duy trì sức khỏe răng miệng lâu dài, giảm nguy cơ bệnh lý.
Vì sao nên chọn nha khoa Thái Bình thay vì đi xa Nhiều người từng nghĩ rằng chỉ có Hà Nội hoặc TP. Hồ Chí Minh mới có dịch vụ nha khoa chất lượng cao. Nhưng hiện nay, các cơ sở nha khoa tại Thái Bình đã được đầu tư bài bản cả về con người và công nghệ. Khách hàng vừa tiết kiệm thời gian, chi phí đi lại, vừa được theo dõi sát sao hơn nhờ sự thuận tiện trong việc tái khám. Đây là lợi thế lớn để người dân yên tâm lựa chọn dịch vụ ngay tại quê hương. Chi phí dịch vụ thay đổi nụ cười tại Thái Bình Chi phí thay đổi nụ cười phụ thuộc vào phương pháp lựa chọn. Tẩy trắng răng và niềng răng có chi phí phù hợp với sinh viên, nhân viên văn phòng. Bọc sứ và implant có chi phí cao hơn, nhưng đổi lại mang đến hiệu quả lâu dài và thẩm mỹ vượt trội. Điểm đáng mừng là chi phí tại nha khoa Thái Bình nhìn chung hợp lý hơn so với các thành phố lớn, trong khi chất lượng ngày càng tiệm cận. Xu hướng thay đổi nụ cười trong tương lai Trong tương lai, xu hướng thay đổi nụ cười sẽ tập trung vào sự cá nhân hóa. Mỗi khách hàng sẽ được thiết kế nụ cười riêng, phù hợp với đặc điểm gương mặt và phong cách sống. Công nghệ trí tuệ nhân tạo, vật liệu nha khoa sinh học và niềng răng thế hệ mới sẽ sớm được áp dụng tại nha khoa thái bình uy tín, mang lại trải nghiệm hiện đại không thua kém gì các trung tâm lớn. Kết luận Hành trình thay đổi nụ cười không chỉ là quá trình cải thiện thẩm mỹ răng miệng mà còn là hành trình lấy lại sự tự tin và nâng cao chất lượng cuộc sống. Với sự phát triển mạnh mẽ của hệ thống nha khoa Thái Bình, người dân địa phương hoàn toàn có thể tìm thấy giải pháp hiện đại ngay tại quê hương. Việc lựa chọn đúng nha khoa thái bình uy tín sẽ giúp bạn an tâm trên con đường thay đổi bản thân. Một nụ cười rạng rỡ không chỉ mang lại niềm vui cho chính bạn mà còn lan tỏa năng lượng tích cực đến những người xung quanh.
nhakhoasing
Nha khoa o Hai Phong bi quyet chon dia chi uy tin de cham soc nu cuoi Hai Phong la mot trong nhung thanh pho lon noi ma nhu cau chinh nha tang cao Việc tìm được một nha khoa ở Hải Phòng không khó, nhưng lựa chọn đúng địa chỉ uy tín để đảm bảo an toàn và hiệu quả mới là điều quan trọng. Vì sao nhu cầu nha khoa tại Hải Phòng ngày càng tăng?
Cuộc sống hiện đại khiến con người ngày càng chú ý hơn đến sức khỏe và ngoại hình. Bên cạnh nhu cầu điều trị các bệnh lý răng miệng, người dân còn quan tâm nhiều đến dịch vụ thẩm mỹ như bọc sứ, niềng răng, implant hay tẩy trắng. Sự xuất hiện ngày càng nhiều nha khoa Hải Phòng hiện đại đã đáp ứng nhu cầu này, giúp khách hàng có thể tiếp cận dịch vụ chất lượng ngay tại địa phương mà không cần phải đi xa.
https://groups.google.com/g/nha-khoa-sing-vn/c/flWYTGZSsSw/m/S282EOtnAQAJ
Các dịch vụ phổ biến tại nha khoa ở Hải Phòng Người dân khi tìm đến các phòng khám nha khoa thường quan tâm đến các dịch vụ: Khám răng và lấy cao răng định kỳ để ngăn ngừa bệnh lý răng miệng.
Tẩy trắng răng bằng laser cho nụ cười trắng sáng tự nhiên.
Niềng răng chỉnh nha với các phương pháp hiện đại, từ mắc cài kim loại đến Invisalign.
https://nhakhoasing03.hashnode.dev/nha-khoa-hai-phong-lua-chon-thong-minh-cho-nu-cuoi-khoe-dep
Bọc răng sứ, dán veneer cải thiện hình dáng, màu sắc răng.
Cấy ghép implant phục hình răng mất với độ bền lâu dài.
Điều trị bệnh lý như trám răng, chữa tủy, nha chu.
Sự đa dạng này cho thấy dịch vụ nha khoa ở Hải Phòng ngày càng tiệm cận với các thành phố lớn như Hà Nội, TP.HCM. Tiêu chí lựa chọn nha khoa Hải Phòng uy tín Không phải phòng khám nào cũng có chất lượng đồng đều. Khi lựa chọn, khách hàng cần chú ý những tiêu chí sau: Đội ngũ bác sĩ: có chuyên môn cao, nhiều kinh nghiệm.
Công nghệ hiện đại: sử dụng máy móc tiên tiến như CT Conebeam, scan răng 3D.
Hệ thống vô trùng an toàn: đảm bảo không xảy ra lây nhiễm chéo.
Quy trình minh bạch: tư vấn rõ ràng, không phát sinh chi phí bất ngờ.
Đánh giá từ khách hàng: phản hồi tích cực từ những người đã trải nghiệm dịch vụ.
Một nha khoa Hải Phòng uy tín phải đáp ứng đầy đủ những tiêu chí trên để mang đến sự yên tâm cho khách hàng.
Nha khoa Sing – Điểm sáng tại Hải Phòng Trong số nhiều cơ sở nổi bật, Sing được xem là một trong những nha khoa Hải Phòng uy tín nhờ sự kết hợp giữa chuyên môn, công nghệ và dịch vụ. Với không gian hiện đại, đội ngũ bác sĩ nhiều kinh nghiệm và hệ thống công nghệ tiên tiến, Sing đã tạo dựng được niềm tin với đông đảo khách hàng. Đặc biệt, Sing luôn chú trọng đến sự thoải mái và an toàn của khách hàng, từ khâu thăm khám, điều trị cho đến chăm sóc sau điều trị. Dịch vụ thế mạnh tại Sing Hải Phòng Niềng răng chỉnh nha: đa dạng phương pháp, phù hợp với mọi đối tượng.
Bọc răng sứ thẩm mỹ: cho hàm răng trắng sáng, đều đẹp tự nhiên.
Cấy ghép implant: phục hình răng mất chắc chắn, bền lâu.
https://zenwriting.net/nhakhoasing03/nha-khoa-hai-phong-diem-den-cho-nu-cuoi-khoe-dep-va-tu-tin
Tẩy trắng răng bằng laser: cải thiện màu sắc răng nhanh chóng, an toàn.
Khám và điều trị bệnh lý răng miệng: từ các vấn đề đơn giản đến phức tạp.
Với những dịch vụ này, Sing khẳng định vị thế là một trong những lựa chọn hàng đầu khi nhắc đến nha khoa ở Hải Phòng. Trải nghiệm khách hàng tại Sing Anh Dũng, 30 tuổi, từng niềng răng tại Sing chia sẻ rằng sự thay đổi khiến anh tự tin hơn nhiều trong giao tiếp và công việc. Chị Hà, 35 tuổi, bọc sứ tại Sing và cho biết: “Răng trắng sáng tự nhiên, ai cũng khen trẻ trung hơn.” Bác Quân, 60 tuổi, sau khi cấy implant tại Sing đã có thể ăn uống thoải mái, không còn lo ngại như trước kia. Những trải nghiệm này là minh chứng rõ ràng cho chất lượng dịch vụ tại Sing – một nha khoa Hải Phòng uy tín. So sánh Sing với các nha khoa khác ở Hải Phòng So với các phòng khám nhỏ lẻ, Sing vượt trội nhờ: Bác sĩ chuyên môn giỏi, nhiều kinh nghiệm.
Trang thiết bị hiện đại, hỗ trợ điều trị chính xác.
Dịch vụ chăm sóc khách hàng tận tâm, theo sát quá trình điều trị.
Chính sự khác biệt này đã giúp Sing giữ vững vị trí trong nhóm nha khoa Hải Phòng uy tín được nhiều người tin tưởng. Xu hướng nha khoa ở Hải Phòng Người dân Hải Phòng ngày nay không chỉ đến nha sĩ để chữa bệnh, mà còn để làm đẹp nụ cười. Xu hướng nổi bật gồm: Niềng răng thẩm mỹ với Invisalign.
Bọc sứ và veneer cho răng trắng sáng, đều đẹp.
Implant thay thế răng mất với độ bền cao.
Nha khoa trẻ em với dịch vụ khám định kỳ, chỉnh nha sớm.
Trong xu hướng này, Sing tiếp tục khẳng định vai trò tiên phong, mang dịch vụ chất lượng đến gần hơn với người dân. Chi phí dịch vụ nha khoa tại Hải Phòng Chi phí dịch vụ tại Hải Phòng hợp lý, thấp hơn so với Hà Nội. Các dịch vụ cơ bản như lấy cao răng, trám răng có chi phí phổ thông. Dịch vụ cao cấp như implant, bọc sứ, niềng răng có mức giá cao hơn do yêu cầu kỹ thuật và vật liệu. Tuy nhiên, chọn đúng một nha khoa Hải Phòng uy tín như Sing giúp khách hàng tiết kiệm về lâu dài nhờ kết quả bền vững, tránh phát sinh chi phí sửa chữa. Kết luận Việc lựa chọn một nha khoa ở Hải Phòng uy tín là yếu tố quyết định để đảm bảo sức khỏe và thẩm mỹ răng miệng. Trong số nhiều cơ sở, nha khoa Sing Hải Phòng nổi bật với chuyên môn cao, công nghệ hiện đại và dịch vụ tận tâm, xứng đáng là một trong những địa chỉ nha khoa Hải Phòng đáng tin cậy nhất hiện nay.
nhakhoasing
Nha khoa Nam Dinh lua chon dung de bao ve suc khoe rang mieng toan dien Suc khoe rang mieng khong chi anh huong toi tham my ma con lien quan mat thiet Người dân Nam Định ngày nay đã ý thức rõ ràng hơn về việc chăm sóc răng định kỳ, phòng ngừa bệnh lý nha chu, sâu răng và cả những tác động gián tiếp đến tim mạch, tiêu hóa. Chính điều này khiến hệ thống nha khoa Nam Định phát triển mạnh và trở thành một phần quan trọng trong đời sống y tế địa phương.
https://nhakhoasing03.blogspot.com/2025/09/nha-khoa-nam-dinh-giai-phap-cham-soc.html
Vai trò của nha khoa trong sức khỏe cộng đồng Các nghiên cứu cho thấy vi khuẩn từ răng miệng có thể lan truyền và ảnh hưởng đến nhiều cơ quan khác nhau trong cơ thể. Viêm nướu kéo dài có thể gây tiêu xương hàm, dẫn đến mất răng sớm. Cao răng tích tụ và hôi miệng không chỉ ảnh hưởng đến giao tiếp mà còn làm tăng nguy cơ viêm họng, viêm dạ dày.
Chính vì vậy, việc đến nha khoa ở Nam Định không còn đơn thuần là giải quyết cơn đau mà còn là cách phòng ngừa bệnh tật. Khám định kỳ, lấy cao răng, trám răng sớm hay chỉnh nha kịp thời đều góp phần giữ cho cơ thể khỏe mạnh lâu dài.
Nhu cầu dịch vụ nha khoa đa dạng tại Nam Định Nhu cầu nha khoa tại Nam Định rất đa dạng theo độ tuổi. Trẻ em cần được phòng sâu răng, trám bít hố rãnh và hướng dẫn vệ sinh răng đúng cách. Thanh thiếu niên và người trưởng thành mong muốn niềng răng để cải thiện thẩm mỹ và khớp cắn. Người trung niên có xu hướng tìm đến bọc răng sứ, dán sứ veneer hay tẩy trắng răng để tự tin hơn trong giao tiếp. Người cao tuổi lại quan tâm nhiều hơn đến phục hình răng mất bằng implant. Sự đa dạng về nhu cầu này đã tạo điều kiện cho nhiều nha khoa Nam Định phát triển với dịch vụ toàn diện, từ cơ bản đến chuyên sâu. Tiêu chí chọn nha khoa uy tín tại Nam Định Để chọn đúng địa chỉ, khách hàng cần dựa trên các tiêu chí sau: Đội ngũ bác sĩ: có chuyên môn cao, kinh nghiệm thực tế và thái độ tận tâm.
Công nghệ, thiết bị: phòng khám hiện đại cần có máy chụp CT Conebeam, máy scan răng 3D, máy lấy cao răng siêu âm và hệ thống vô trùng an toàn.
Dịch vụ khách hàng: quy trình tư vấn minh bạch, chăm sóc sau điều trị chu đáo.
Phản hồi thực tế: đánh giá từ khách hàng đã trải nghiệm là cơ sở tham khảo quan trọng để xác định độ uy tín.
Nha khoa Sing Nam Định – Điểm đến được nhiều người tin tưởng Trong số nhiều địa chỉ, nha khoa Sing Nam Định nổi bật nhờ sự kết hợp giữa tay nghề bác sĩ, công nghệ hiện đại và dịch vụ khách hàng. Đây là nơi nhiều gia đình tại Nam Định tin tưởng lựa chọn cho hành trình chăm sóc răng miệng lâu dài. Điểm mạnh của Sing là quy trình điều trị chuẩn y khoa, mỗi khách hàng đều được lên phác đồ riêng dựa trên tình trạng cụ thể. Đội ngũ bác sĩ tận tâm, sẵn sàng giải thích rõ ràng để khách hàng hiểu và an tâm trước khi điều trị. Cùng với đó, Sing đầu tư đồng bộ máy móc và hệ thống vô trùng, đảm bảo an toàn tối đa.
Các dịch vụ thế mạnh tại nha khoa Sing Nam Định Khám tổng quát và lấy cao răng định kỳ: giúp duy trì nướu khỏe mạnh, phòng ngừa viêm lợi và hôi miệng.
Niềng răng: đa dạng phương pháp từ mắc cài kim loại, mắc cài sứ đến niềng trong suốt Invisalign.
Bọc răng sứ, dán sứ veneer: cải thiện màu sắc và hình dáng răng, mang lại nụ cười tự nhiên, đều đẹp.
Tẩy trắng răng bằng công nghệ laser: nhanh chóng, an toàn và mang lại hiệu quả rõ rệt.
Cấy ghép implant: giải pháp tối ưu cho người mất răng, phục hồi khả năng ăn nhai và thẩm mỹ lâu dài.
Trải nghiệm thực tế từ khách hàng Anh Long, một khách hàng từng trám và niềng răng tại Sing, chia sẻ rằng anh rất ấn tượng với cách bác sĩ tư vấn kỹ lưỡng và theo dõi sát sao quá trình điều trị. Nhờ vậy, anh cảm thấy an tâm và tin tưởng. Chị Hà, nhân viên văn phòng, cho biết sau khi bọc sứ tại Sing, chị tự tin hơn khi giao tiếp. Bạn bè nhận xét rằng nụ cười của chị tươi sáng, tự nhiên và khuôn mặt trẻ trung hơn. Bác Khải, một khách hàng cao tuổi, từng e ngại khi nghĩ đến implant vì lo ngại đau và chi phí cao. Tuy nhiên, sau khi thực hiện tại Sing, bác cảm thấy hài lòng vì quá trình nhẹ nhàng và kết quả ăn nhai như răng thật. Vì sao nhiều gia đình lựa chọn Sing thay vì các cơ sở khác Trong số nhiều nha khoa ở Nam Định, Sing được đánh giá cao vì sự chuyên nghiệp và minh bạch. Khách hàng luôn được biết rõ tình trạng răng miệng, chi tiết phác đồ điều trị và hướng dẫn chăm sóc sau đó. Điều này giúp họ tránh được cảm giác lo lắng và bất an thường gặp khi đi nha sĩ. Hơn nữa, Sing chú trọng đến dịch vụ chăm sóc sau điều trị. Khách hàng được nhắc lịch tái khám, theo dõi tiến trình hồi phục và hỗ trợ kịp thời nếu có vấn đề phát sinh. Đây là yếu tố khiến Sing trở thành địa chỉ đồng hành lâu dài với nhiều gia đình. Chi phí dịch vụ nha khoa tại Nam Định Mức chi phí dịch vụ tại Nam Định dao động tùy loại hình. Các dịch vụ cơ bản như khám, lấy cao răng, trám răng có chi phí phổ biến, phù hợp với nhiều đối tượng. Niềng răng, bọc sứ, implant thường có chi phí cao hơn do yêu cầu kỹ thuật, thời gian và vật liệu. Khách hàng nên tham khảo mức giá thị trường để chuẩn bị tài chính, đồng thời so sánh chất lượng giữa các cơ sở để đưa ra quyết định chính xác. Không nên chỉ lựa chọn dựa trên chi phí thấp nhất mà bỏ qua yếu tố uy tín. Xu hướng phát triển của nha khoa tại Nam Định Xu hướng đầu tiên là sự kết hợp giữa điều trị và thẩm mỹ. Người dân ngày càng mong muốn có răng chắc khỏe nhưng đồng thời cũng sở hữu nụ cười sáng, đều đẹp. Xu hướng thứ hai là dịch vụ nha khoa nhi. Phụ huynh tại Nam Định đã ý thức hơn về việc chăm sóc răng miệng cho con từ sớm, đưa trẻ đi khám định kỳ và chỉnh nha khi cần thiết. Trong xu hướng đó, nha khoa Sing Nam Định là một trong những đơn vị tiên phong, mang đến giải pháp toàn diện cho cả trẻ em, người trưởng thành và người cao tuổi. Bí quyết duy trì nụ cười khỏe đẹp lâu dài Để giữ kết quả điều trị bền vững, mỗi người cần duy trì thói quen chăm sóc răng miệng khoa học. Hãy chải răng ít nhất hai lần mỗi ngày, dùng chỉ nha khoa thay cho tăm và súc miệng bằng dung dịch kháng khuẩn. Nên hạn chế thực phẩm nhiều đường, nước có gas và thuốc lá. Thay vào đó, bổ sung thực phẩm giàu canxi, vitamin và rau xanh. Đặc biệt, đừng quên tái khám định kỳ tại các nha khoa Nam Định uy tín để phát hiện sớm và xử lý kịp thời các vấn đề. Kết luận Nhu cầu chăm sóc răng miệng tại Nam Định ngày càng đa dạng và phát triển mạnh mẽ. Giữa nhiều lựa chọn, nha khoa Sing Nam Định đã khẳng định uy tín nhờ chuyên môn cao, công nghệ hiện đại và dịch vụ tận tâm. Đây là một trong những nha khoa ở Nam Định được khách hàng tin tưởng, đồng hành lâu dài trong hành trình chăm sóc sức khỏe răng miệng và xây dựng nụ cười rạng rỡ.
nhakhoasing
Nha khoa Hai Duong checklist chon dia chi uy tin ban nen biet Thanh pho hai duong hien nay co hang chuc phong kham rang mieng lon nho mang den nhieu lua chon cho nguoi dan Tuy nhiên, không phải cơ sở nào cũng đạt chuẩn chất lượng. Để tránh “tiền mất, tật mang”, bạn nên nắm rõ checklist dưới đây trước khi quyết định đến một nha khoa Hải Dương.
- Kiểm tra đội ngũ bác sĩ Một nha khoa Hải Dương uy tín phải có đội ngũ bác sĩ được đào tạo bài bản, có kinh nghiệm chuyên sâu trong từng lĩnh vực. Hãy chú ý: Bác sĩ có chứng chỉ hành nghề rõ ràng.
Có kinh nghiệm nhiều năm trong các dịch vụ như niềng răng, bọc sứ, chữa tủy.
Tư vấn tận tâm, không vội vàng kết thúc quá trình khám.
Tại nha khoa Sing Hải Dương, mỗi khách hàng đều được trực tiếp thăm khám bởi bác sĩ chuyên môn, đảm bảo chẩn đoán và phác đồ điều trị chính xác. 2. Đánh giá trang thiết bị và công nghệ Công nghệ hiện đại giúp giảm thiểu đau nhức, rút ngắn thời gian điều trị và nâng cao tính thẩm mỹ. Một nha khoa uy tín thường có: Máy chụp CT Conebeam 3D.
Hệ thống scan răng kỹ thuật số.
Phần mềm mô phỏng nụ cười.
Công nghệ tẩy trắng laser.
https://nhakhoasing03.blogspot.com/2025/08/nha-khoa-hai-duong-cap-nhat-thong-tin-e.html
Đây cũng là những công nghệ mà Sing đã đầu tư để khẳng định vị thế trong số nhiều nha khoa hải dương. 3. Quy trình vô trùng và an toàn Sức khỏe răng miệng liên quan trực tiếp đến toàn bộ cơ thể, vì vậy yếu tố vô trùng cực kỳ quan trọng. Một nha khoa Hải Dương uy tín phải: Có phòng tiệt trùng riêng biệt.
Dụng cụ được hấp sấy và đóng gói riêng.
Nhân viên tuân thủ quy trình vô trùng nghiêm ngặt.
Tại Sing, quy trình vô trùng chuẩn quốc tế được áp dụng cho mọi dịch vụ, từ lấy cao răng đến thẩm mỹ.
- Dịch vụ đa dạng, phù hợp nhiều nhu cầu Một địa chỉ uy tín không chỉ dừng lại ở khám chữa cơ bản mà cần có dịch vụ toàn diện. Tại nha khoa sing hải dương, khách hàng được lựa chọn nhiều dịch vụ khác nhau: Niềng răng chỉnh nha: mắc cài kim loại, sứ, Invisalign.
Bọc răng sứ, dán veneer thẩm mỹ.
Tẩy trắng răng công nghệ cao.
Khám và điều trị bệnh lý: trám, chữa tủy, nha chu.
Sự đa dạng này giúp khách hàng giải quyết mọi vấn đề răng miệng tại một địa chỉ duy nhất. 5. Tham khảo phản hồi từ khách hàng Đánh giá thực tế từ khách hàng là thước đo quan trọng. Bạn nên tham khảo review trên mạng xã hội, website hoặc trực tiếp hỏi người quen. Chị H., 29 tuổi, chia sẻ sau khi bọc sứ tại Sing: “Kết quả ngoài mong đợi, răng trắng sáng tự nhiên, tôi tự tin hơn nhiều.”
Anh T., 35 tuổi, niềng Invisalign: “Quá trình thoải mái, không ai nhận ra tôi đang niềng. Sau 18 tháng, kết quả làm tôi rất hài lòng.”
Những trải nghiệm này góp phần khẳng định Sing là một trong những nha khoa Hải Dương uy tín. 6. Tư vấn minh bạch, chi phí rõ ràng Một số phòng khám nhỏ lẻ thường có tình trạng phát sinh chi phí ngoài cam kết, khiến khách hàng mất niềm tin. Khi lựa chọn nha khoa, hãy chú ý: Được tư vấn đầy đủ các phương án điều trị.
Có bảng chi phí rõ ràng trước khi bắt đầu.
Không có khoản phát sinh bất ngờ.
Tại nha khoa Sing Hải Dương, khách hàng luôn được báo giá minh bạch, cam kết đúng với phác đồ điều trị. 7. Dịch vụ chăm sóc sau điều trị Một nha khoa hải dương uy tín không chỉ kết thúc khi khách hàng ra về mà còn phải theo dõi, nhắc lịch tái khám, hỗ trợ xử lý khi có bất thường. Sing được đánh giá cao nhờ chính sách chăm sóc hậu mãi chu đáo, đồng hành cùng khách hàng trong suốt quá trình duy trì kết quả. Xu hướng nha khoa tại Hải Dương Người dân Hải Dương ngày càng quan tâm đến thẩm mỹ răng miệng. Các xu hướng nổi bật hiện nay gồm: Niềng trong suốt Invisalign cho giới trẻ và dân văn phòng.
Bọc sứ và veneer để cải thiện nhanh chóng nụ cười.
Tẩy trắng răng laser cho những ai muốn nụ cười rạng rỡ.
Khám định kỳ để phòng bệnh nha chu từ sớm.
Trong xu hướng này, Sing luôn đi đầu với công nghệ hiện đại, dịch vụ đa dạng, trở thành lựa chọn hàng đầu trong số nhiều nha khoa hải dương.
Chi phí dịch vụ tại Hải Dương Chi phí tại Hải Dương được đánh giá hợp lý, phù hợp với nhiều nhóm khách hàng. Các dịch vụ cơ bản như lấy cao răng, trám răng có chi phí phổ thông. Dịch vụ cao cấp như bọc sứ, veneer hay Invisalign có chi phí cao hơn do yêu cầu kỹ thuật và vật liệu. Tuy nhiên, khi chọn một nha khoa Hải Dương uy tín như Sing, khách hàng sẽ tiết kiệm lâu dài nhờ kết quả bền vững. Kết luận Chọn một nha khoa hải dương không chỉ là tìm nơi chữa răng mà còn là quyết định ảnh hưởng đến sức khỏe và thẩm mỹ lâu dài. Với đội ngũ bác sĩ giỏi, công nghệ tiên tiến và dịch vụ tận tâm, nha khoa Sing Hải Dương đã khẳng định vị thế là địa chỉ đáng tin cậy. Checklist trên sẽ giúp bạn dễ dàng đánh giá và chọn đúng một nha khoa Hải Dương uy tín, để sở hữu nụ cười khỏe đẹp và tự tin mỗi ngày.
nhakhoasing
Nha khoa Nam Dinh giai dap thac mac thuong gap cua khach hang Nhu cau tim kiem nha khoa nam dinh dang gia tang theo thoi gian don gian la boi vi nhu cau ve suc khoe rang mieng cung nhu tham my Tuy nhiên, không ít người vẫn còn băn khoăn trước khi quyết định đi khám. Dưới đây là những câu hỏi phổ biến nhất cùng lời giải đáp chi tiết, giúp bạn yên tâm hơn khi lựa chọn địa chỉ chăm sóc răng miệng.
Bao lâu nên đi khám nha khoa một lần? Theo các chuyên gia, bạn nên đi khám răng định kỳ 6 tháng/lần. Việc này giúp phát hiện sớm các vấn đề như sâu răng, viêm lợi, cao răng tích tụ. Với những người có nguy cơ cao (hút thuốc, uống nhiều cà phê, có bệnh nha chu), nên đi khám 3–4 tháng/lần. Hầu hết các phòng khám nha khoa Nam Định hiện nay đều triển khai dịch vụ khám định kỳ, lấy cao răng, chụp phim để khách hàng dễ dàng theo dõi tình trạng răng miệng. Lấy cao răng có gây hại không? Một lo lắng phổ biến là lấy cao răng sẽ mòn men răng. Thực tế, nếu thực hiện bằng công nghệ siêu âm hiện đại, lấy cao răng hoàn toàn an toàn. Ngược lại, nó giúp ngăn ngừa viêm nướu, hôi miệng và nha chu. Tại nhiều cơ sở nha khoa ở Nam Định, đặc biệt là những phòng khám hiện đại, quy trình lấy cao răng được tiến hành nhẹ nhàng, nhanh chóng, không gây đau đớn.
Tẩy trắng răng có làm yếu men răng? Công nghệ tẩy trắng hiện đại sử dụng ánh sáng laser hoặc đèn LED kết hợp thuốc tẩy an toàn. Nếu thực hiện đúng kỹ thuật, tẩy trắng không làm yếu men răng mà chỉ tác động lên các phân tử gây xỉn màu. Khách hàng sau khi tẩy trắng tại những nha khoa Nam Định uy tín đều nhận thấy răng trắng sáng tự nhiên, không ê buốt kéo dài. Niềng răng có mất nhiều thời gian không? Thời gian niềng răng thường kéo dài từ 18–36 tháng tùy tình trạng răng. Mặc dù cần kiên nhẫn, niềng răng là giải pháp chỉnh nha toàn diện, mang lại kết quả lâu dài. Các phòng khám nha khoa Nam Định hiện nay cung cấp nhiều lựa chọn: mắc cài kim loại, mắc cài sứ và niềng trong suốt Invisalign để phù hợp với nhu cầu thẩm mỹ của từng người.
Bọc răng sứ có bền không? Răng sứ thường có tuổi thọ từ 10–15 năm, thậm chí lâu hơn nếu chăm sóc tốt. Bọc sứ không chỉ giúp răng đều, đẹp mà còn bảo vệ răng thật bên trong. Điều quan trọng là khách hàng phải lựa chọn cơ sở uy tín để đảm bảo chất lượng vật liệu và tay nghề bác sĩ. Một nha khoa Nam Định uy tín sẽ mang đến kết quả thẩm mỹ tự nhiên, bền vững. Cấy ghép implant có đau không? Nhiều khách hàng lo lắng implant phức tạp và đau đớn. Tuy nhiên, với thuốc tê và công nghệ hiện đại, quá trình cấy ghép diễn ra nhanh chóng, ít đau, khách hàng có thể sinh hoạt bình thường sau vài ngày. Đây là dịch vụ phổ biến tại các nha khoa ở Nam Định hiện nay, mang lại khả năng ăn nhai chắc chắn và thẩm mỹ tối ưu. Trẻ em có cần đi khám nha khoa sớm không? Câu trả lời là có. Trẻ em nên được kiểm tra răng miệng từ 3 tuổi để phát hiện sớm các vấn đề như sâu răng, răng mọc lệch hoặc sai khớp cắn. Việc can thiệp kịp thời giúp trẻ tránh được những điều trị phức tạp sau này. Ngày nay, nhiều phụ huynh đã đưa con đi khám tại nha khoa ở Nam Định, trong đó có các phòng khám lớn chuyên về nha khoa trẻ em. Chi phí dịch vụ nha khoa ở Nam Định như thế nào? Chi phí tại Nam Định được đánh giá là hợp lý, thấp hơn so với các thành phố lớn. Dịch vụ cơ bản như khám, lấy cao răng, trám răng có chi phí phổ thông. Các dịch vụ cao cấp như implant, bọc sứ, niềng răng có mức chi phí cao hơn do yêu cầu kỹ thuật và công nghệ. Điều quan trọng là khách hàng không nên chỉ chọn nơi giá rẻ mà bỏ qua yếu tố chất lượng. Một địa chỉ nha khoa Nam Định uy tín sẽ giúp bạn an tâm về kết quả và tiết kiệm chi phí lâu dài.
Vì sao Sing là một trong những địa chỉ uy tín tại Nam Định? Sing được nhiều khách hàng lựa chọn bởi sự kết hợp của ba yếu tố quan trọng: Đội ngũ bác sĩ giàu kinh nghiệm, chuyên môn cao.
Trang thiết bị hiện đại, ứng dụng công nghệ tiên tiến.
Dịch vụ tận tâm, minh bạch và đồng hành lâu dài với khách hàng.
Chính vì vậy, Sing đã trở thành một trong những địa chỉ nha khoa Nam Định uy tín, được nhiều gia đình tin tưởng lựa chọn.
Kết luận Việc chăm sóc răng miệng không còn là việc làm khi có bệnh mà đã trở thành thói quen phòng ngừa và làm đẹp. Với sự phát triển mạnh mẽ của hệ thống nha khoa ở Nam Định, người dân có nhiều cơ hội tiếp cận dịch vụ chất lượng ngay tại địa phương. Trong số đó, các cơ sở uy tín như Sing khẳng định vai trò tiên phong, xứng đáng để khách hàng tin tưởng và đồng hành lâu dài.
nhakhoasing
Nha khoa Sing Nam Dinh dia chi tieu bieu cho chat luong va su uy tin Trong nhung nam gan day nhu cau cham soc va tham my rang mieng tai nam dinh ngay cang tang cao Người dân không chỉ quan tâm đến sức khỏe răng lợi mà còn mong muốn có nụ cười rạng rỡ để tự tin hơn trong giao tiếp. Sự phát triển của hệ thống nha khoa Nam Định mang lại nhiều lựa chọn, nhưng đồng thời cũng đặt ra câu hỏi: đâu là địa chỉ thật sự uy tín? Trong bức tranh đó, nha khoa Sing Nam Định nổi bật như một lựa chọn tiêu biểu, được đông đảo khách hàng tin tưởng.
Vì sao nhu cầu nha khoa tại Nam Định ngày càng tăng? Nam Định là tỉnh đông dân, nơi đời sống ngày càng nâng cao. Điều này kéo theo sự thay đổi trong thói quen chăm sóc sức khỏe, trong đó có nha khoa. Trẻ nhỏ được cha mẹ đưa đi khám sớm để ngăn ngừa sâu răng. Người trưởng thành chú trọng nhiều hơn đến chỉnh nha, tẩy trắng và bọc sứ. Người cao tuổi cần các giải pháp phục hình răng để duy trì khả năng ăn nhai. Sự đa dạng về nhu cầu đã thúc đẩy sự ra đời của nhiều cơ sở nha khoa. Tuy nhiên, không phải nơi nào cũng đáp ứng đầy đủ tiêu chí về chuyên môn, công nghệ và dịch vụ. Chính vì vậy, việc lựa chọn nha khoa Nam Định uy tín là điều rất quan trọng.
Tiêu chí đánh giá một nha khoa Nam Định uy tín Một phòng khám nha khoa chất lượng cần đáp ứng nhiều tiêu chí khác nhau. Thứ nhất là đội ngũ bác sĩ. Đây là yếu tố quyết định trực tiếp đến kết quả điều trị. Bác sĩ cần có trình độ chuyên môn cao, kinh nghiệm lâm sàng và tinh thần tận tâm với bệnh nhân. Thứ hai là trang thiết bị và công nghệ. Một cơ sở nha khoa hiện đại phải có máy chụp CT Conebeam, máy quét dấu răng 3D, hệ thống vô trùng khép kín và phần mềm mô phỏng nụ cười. Thứ ba là dịch vụ khách hàng. Không chỉ điều trị hiệu quả, nha khoa uy tín còn cần chú trọng đến trải nghiệm khách hàng, từ khâu tiếp đón, tư vấn, đến chăm sóc sau điều trị. Thứ tư là phản hồi thực tế từ khách hàng. Những đánh giá tích cực từ người đã trải nghiệm là bằng chứng rõ ràng nhất về độ uy tín của cơ sở.
Nha khoa Sing Nam Định – Điểm đến tiêu biểu Trong số nhiều phòng khám, nha khoa Sing Nam Định đã và đang khẳng định vị thế nhờ sự đầu tư toàn diện. Đội ngũ bác sĩ giàu kinh nghiệm, thường xuyên cập nhật kiến thức mới. Hệ thống trang thiết bị hiện đại, đồng bộ, đáp ứng mọi dịch vụ từ cơ bản đến phức tạp. Không gian phòng khám được thiết kế thân thiện, hiện đại, tạo cảm giác thoải mái cho khách hàng. Đặc biệt, Sing xây dựng quy trình điều trị minh bạch, giúp khách hàng hiểu rõ tình trạng của mình và giải pháp phù hợp trước khi bắt đầu.
https://6giay.vn/threads/nha-khoa-nam-dinh-hanh-trinh-thay-doi-nu-cuoi-va-cuoc-song.449583/
Những yếu tố này giúp Sing được đánh giá là một trong những nha khoa Nam Định uy tín hàng đầu. Các dịch vụ nổi bật tại nha khoa Sing Nam Định Khám tổng quát và lấy cao răng định kỳ: giúp loại bỏ mảng bám, ngăn ngừa bệnh lý nướu và hôi miệng.
Niềng răng chỉnh nha: nhiều phương pháp như mắc cài kim loại, mắc cài sứ và niềng trong suốt Invisalign, phù hợp cho từng đối tượng.
Bọc răng sứ và dán sứ veneer: cải thiện thẩm mỹ nụ cười, mang lại hàm răng trắng sáng, đều đẹp.
Tẩy trắng răng bằng laser: nhanh chóng, an toàn, hiệu quả rõ rệt chỉ sau một buổi.
Cấy ghép implant: phục hình răng mất tối ưu, bền chắc và tự nhiên như răng thật.
Trải nghiệm thực tế của khách hàng Anh Nam, một nhân viên bán hàng, chia sẻ rằng trước đây anh khá tự ti vì răng khấp khểnh. Sau khi niềng răng tại Sing, anh đã có hàm răng đều đẹp và công việc trở nên thuận lợi hơn nhờ sự tự tin. Chị Lan, nhân viên văn phòng, từng bọc răng sứ tại Sing, cho biết nụ cười sáng và tự nhiên đã giúp chị được đồng nghiệp khen trẻ trung, cuốn hút hơn. Bác Hòa, một khách hàng lớn tuổi, đã lựa chọn implant tại Sing. Sau khi phục hình, bác cảm thấy ăn uống thoải mái và không còn khó chịu như trước. Những phản hồi này chính là minh chứng cho uy tín và chất lượng mà nha khoa Sing Nam Định mang lại. Lý do nhiều người gắn bó với Sing lâu dài Một trong những lý do lớn nhất là sự minh bạch và tận tâm. Khách hàng luôn được tư vấn rõ ràng về tình trạng răng miệng, phác đồ điều trị, thời gian và kết quả dự kiến. Thêm vào đó, Sing đặc biệt chú trọng đến chăm sóc sau điều trị. Khách hàng được nhắc lịch tái khám, theo dõi tiến trình và hỗ trợ kịp thời nếu có vấn đề phát sinh. Đây là điều khiến nhiều người tin tưởng và quay lại nhiều lần. Xu hướng nha khoa tại Nam Định Nhìn từ thực tế, xu hướng lớn nhất tại Nam Định là sự kết hợp giữa sức khỏe và thẩm mỹ. Người dân không chỉ mong muốn răng chắc khỏe mà còn cần một nụ cười đẹp để tự tin. Điều này lý giải vì sao dịch vụ bọc sứ, dán veneer, niềng răng trong suốt và implant ngày càng phổ biến. Ngoài ra, nha khoa Nam Định uy tín còn tập trung nhiều hơn vào dịch vụ nha khoa trẻ em. Nhiều phụ huynh đã chủ động đưa con đi khám định kỳ để ngăn ngừa sâu răng, lệch khớp cắn từ sớm. Chi phí dịch vụ tại Nam Định Chi phí dịch vụ nha khoa tại Nam Định có sự dao động tùy loại hình. Các dịch vụ cơ bản như khám, lấy cao răng, trám răng có chi phí dễ tiếp cận. Trong khi đó, niềng răng, bọc sứ, implant thường cao hơn do yêu cầu kỹ thuật và vật liệu. Điều quan trọng là khách hàng cần tham khảo mức giá trung bình và cân nhắc chất lượng dịch vụ để đưa ra quyết định hợp lý. Chọn địa chỉ uy tín như nha khoa Sing Nam Định sẽ giúp tiết kiệm chi phí về lâu dài, tránh tình trạng phải điều trị lại. Bí quyết duy trì nụ cười khỏe đẹp Sau khi điều trị, khách hàng nên chú trọng đến việc vệ sinh răng miệng đúng cách: chải răng ít nhất hai lần mỗi ngày, dùng chỉ nha khoa, súc miệng bằng dung dịch kháng khuẩn. Chế độ ăn uống cũng cần khoa học, hạn chế đồ ngọt, nước có gas, thuốc lá; bổ sung canxi, vitamin D và rau xanh. Đặc biệt, duy trì thói quen tái khám định kỳ tại các nha khoa Nam Định uy tín để kịp thời phát hiện và xử lý vấn đề. Kết luận Sự phát triển mạnh mẽ của hệ thống nha khoa Nam Định đã mang đến nhiều lựa chọn cho khách hàng. Tuy nhiên, không phải địa chỉ nào cũng đảm bảo chất lượng và uy tín. Trong bức tranh đa dạng đó, nha khoa Sing Nam Định nổi bật nhờ chuyên môn, công nghệ và dịch vụ tận tâm. Đây là một trong những lựa chọn tiêu biểu cho những ai đang tìm kiếm nha khoa Nam Định uy tín để đồng hành lâu dài cùng sức khỏe răng miệng và nụ cười rạng rỡ.
troymshelton
Căn Studio Vinhomes Đan Phượng hay căn 1 phòng ngủ Vinhomes Đan Phượng cũng đều là những sản phẩm rất được quan tâm trên thị trường BĐS của dự án tiềm năng này. Đặc biệt sản phẩm Căn hộ Studio với lối thiết kế rất thông minh dạng dù diện tích nhỏ. Cùng tìm hiểu kỹ hơn về sản phẩm này qua chia sẻ dưới đây.
Mặt bằng dự án Vinhomes Wonder Park Đan Phượng nằm ở vị trí như sau:
- Nhiều tiền
- Nhiều đồ dùng
- Nhiều nhà
Đặt vé Vinhomes Đan Phượng: https://www.hackerrank.com/can-1-phong-ngu-vinhomes-dan-phuong-ha-noi-vin-wonder-park/
Vinhomes Wonder Park Đan Phượng là một trong những Dự án gần nhất tại Thủ đô của tập đoàn Vingroup, sở hữu nhiều lợi thế như: vị trí địa lý đắc địa, có quỹ đất rất rộng lớn, thiên nhiên cảnh quan thoáng đãng,…
Xem thêm: Dự án Vinhomes Đan Phượng có tổng diện tích đất lên đến 133 ha
Được đặt tại 2 xã của quận Đan Phượng, thành phố Hà Nội, cũng như nhiều dự án khu đô thị khác của Vinhomes, khu đô thị Vinhomes Đan Phượng cũng có đa dạng các loại hình sản phẩm BĐS (biệt thự đơn lập, biệt thự song lập, biệt thự liền kề, shophouse, studio) cùng hệ thống tiện ích rất phong phú.
AshleyJos
Minute WNBA Canada Match Furnished As a result of Tangerine In the direction of Aspect Los Angeles Sparks and Seattle Storm within Edmonton, Alberta
Moment WNBA Canada Recreation Provided Via Tangerine In direction of Attribute Los Angeles Sparks and Seattle Storm within just Edmonton, AlbertaThu, Mar 7, 2024, 7:00 PMSparks and Storm in the direction of Perform Preseason WNBA Activity upon Sunday, May possibly 5 at Rogers Room within downtown Edmonton ?Followers inside Canada can Sign up for Presale Ticket Achieve at he Women of all ages's Countrywide Basketball Affiliation currently declared that the minute WNBA Canada Sport offered by way of Tangerine will aspect the Los Angeles Sparks and the Seattle Storm enjoying a preseason sport upon Sunday, May perhaps 5, 2024, at Rogers Space inside of Edmonton, 4-year WNBA winner Storm previously capabilities 2023 WNBA scoring chief and ATT WNBA All-Star Activity MVP Jewell Loyd, 2023 WNBA All-Defensive Minute Personnel member Ezi Magbegor, and most current additions during no cost firm, 8-period WNBA All-Star Nneka Ogwumike and 6-period WNBA All-Star Skylar 3-period WNBA winner Sparks at this time aspect WNBA All-Star Layshia Clarendon, 2022 WNBA Winner and 2-season Kia WNBA 6th Participant of the Calendar year Dearica Hamby and lately uncovered Canadian star Kia Nurse. One particular of the unique 8 WNBA franchises, Los Angeles owns the moment and fourth over-all very first-spherical selections inside of the future 2024 WNBA Draft furnished via Nation Farm scheduled for Monday https://www.lasteamstore.com/Rae_Burrell_Jersey, April for the 2024 WNBA Canada Activity offered by means of Tangerine will shift upon all round sale March 20 at. Enthusiasts in just Canada can sign-up in direction of be notified of presale ticket arrive at at. Broadcast data and the start off period for the 2024 WNBA Canada Activity delivered through Tangerine will be introduced within the close to upcoming. Even more assisting companions of the 2024 WNBA Canada Activity available by means of Tangerine consist of the Canadian Tire Company and Take a look at 2024 WNBA Canada Activity offered as a result of Tangerine will be the moment preseason WNBA sport toward at any time be performed inside of Canada and the fourth preseason WNBA activity outside the house of the United Suggests, just after prior online games within just Toronto, Upon; Manchester, England and Monterrey, inaugural WNBA Canada Sport furnished by means of Tangerine observed the Chicago Sky triumph over the Minnesota Lynx 82-74 inside of entrance of a bought-out group at Scotiabank Arena inside of Toronto. The preseason video game fixed information for broadcast viewership, attendance and products profits within Canada. The WNBA is too coming off its optimum-viewed regular monthly period within 21 a long time. Viewership for the 2023 period throughout the league's nationwide tv set associates in just the U.S. and Canada was up 21 and 32 per cent, respectively, previously mentioned the 2022 period. The league too established contemporary highs throughout WNBA electronic platforms and social media extra content material, enthusiasts inside Canada can comply with the NBA upon Fb Sarah Ashlee Barker Jersey, Instagram, TikTok and X and the WNBA upon Fb, Instagram, TikTok and X. Formal WNBA goods is accessible at the NBA/WNBA Retailer inside Canada at Prices:WNBA Commissioner Cathy Engelbert: "We couldn't be excess energized toward deliver the Sparks and Storm towards Edmonton the moment ultimate 12 months's ancient video game inside Toronto, which featured the outstanding momentum more than ladies's basketball throughout Canada. Lovers, companions and communities throughout the state embraced the WNBA, surroundings data for viewership, products and solutions gross sales and attendance, and we're searching in advance in the direction of the likelihood in the direction of the moment once more showcase our league within just a metropolis with a loaded donning legacy and indelible ties in the direction of basketball for the duration of the Edmonton Grads and Canadian Girls's Nationwide Basketball Staff members."Tangerine President CEO Gillian Riley: "As foundational lover of the WNBA within just Canada, had been fired up toward be portion of the development of the recreation for females and in the direction of welcome this minute exhibiting of the WNBA Canada Activity, this calendar year in just Edmonton. If ultimate 12 months confirmed us nearly anything, it's that enthusiasts within just Canada are amped in the direction of service women of all ages's athletics and as a result are we at Tangerine! We cant be reluctant toward cheer upon WNBA basketball for a different 12 months as we circulation the video game in advance, Angeles Sparks Co-Operator Magic Johnson: "Just one of Canada's most important basketball avid gamers, Sparks defend Kia Nurse, is returning toward perform inside of entrance of her Canadian admirers as my Los Angeles Sparks get upon the Seattle Storm within just this calendar year's WNBA Canada Sport available via Tangerine. That includes some of the league's final skill within just Canada is a perfect prospect toward carry on establishing focused WNBA followers exterior of the U.S. Very last 12 months's recreation was a sellout and I hope almost nothing significantly less for the Sparks from Storm!"Seattle Storm Mind Practice Noelle Quinn: "We are fired up for the probability in the direction of be a section of the WNBA Canada Sport delivered through Tangerine and showcase the amazing skill within just the WNBA within Edmonton. I've been honored towards energy with the Canadian senior gals's countrywide staff members and witness firsthand how Canada carries on in the direction of be out entrance Although it will come towards advocating for gals and paying out inside ladies's sporting activities. This match signifies the enhancement of girls's basketball both equally within just Canada and upon a worldwide point."Town of Edmonton Mayor Amarjeet Sohi: "Sporting activities groups towards above the planet realize that Edmonton lovers cheer the loudest, and I am fired up for the Seattle Storm, Los Angeles Sparks and WNBA toward encounter the exhilaration inside Edmonton for them selves! This recreation is yet another accessibility inside of Edmonton's lengthy heritage of celebrating women of all ages basketball, which features the Edmonton Grads who move forward in the direction of retain the North American historical past for the females sporting activities employees with the most straightforward successful proportion. I am energized that Edmonton contains the probability towards showcase our incredible town, features and regional spirit as we host this world wide system carrying and Leader Performing Officer, Rogers Issue and ICE District, Stuart Ballantyne: "We are enthusiastic towards welcome the WNBA and basketball enthusiasts versus throughout the nation again in direction of ICE District , Canada's biggest sporting activities and enjoyment district. Followers are nevertheless chatting concerning the NBA preseason match inside 2022, and we feel ahead towards internet hosting far more of the planet's utmost elite basketball superstars versus the Los Angeles Sparks, such as Canada's private Kia Nurse, and Seattle Storm at Rogers Area within just May well for yet another memorable working experience."
https://www.lasteamstore.com
AshleyJos
Gray constant scoring creation getting to be Atlanta X-aspect
Grey's continual scoring manufacturing turning out to be Atlanta's X-factorTue, Jun 20, 2023, 3:30 PMINDIANAPOLIS, Inside of JUNE 18: Allisha Grey #15 of the Atlanta Aspiration goes towards the basket throughout the recreation upon June18, 2023 at Gainbridge Fieldhouse inside of Indianapolis, Indiana. Take note In direction of Person: Consumer expressly recognizes and agrees that, through downloading and or working with this Photo, person is consenting in direction of the text and disorders of the Getty Pictures License Settlement. Required Copyright Consideration: Copyright 2023 NBAEThe 6th-12 months defend is developing instantaneous have an affect on within just her very first time within AtlantaBy: Mason WilliamsINDIANAPOLIS Allisha Grey's greater scoring evenings could not generally leap out at very first. At minimum, they once in a while wear't in the direction of Atlanta Aspiration thoughts educate Tanisha Wright. " is an individual who at instances, on your own use't understand what she's executing and then yourself seem up and on your own're including, , Leesh basically did what she did,'" Wright stated the moment Sunday's 100-94 victory more than the Indiana experienced a staff members-superior 25 info upon 9-of-13 capturing upon the afternoon, quickly immediately after up her 27-place, 10-rebound efficiency in just a profitable energy against Connecticut this last a end result, she's been a key catalyst towards Atlanta's present 3-video game successful streak that features a victory about the Contemporary York Freedom, as very well as the aforementioned wins about the Sunshine and Fever Dream Jersey. "She's a person who exactly primarily places upon her challenging hat and goes in the direction of operate and accurately does what she does," Wright ongoing. "She did that all through working out camp. "There ended up occasions I was together with, h, this isn't obvious. ' Nonetheless Although yourself shift again and by yourself monitor the tape, on your own perspective all the minimal performs Leesh was manufacturing. "Factoring within just Sunday's outing, Grey is up in direction of 18. 7 details a recreation this year. She's scored double digits inside each contest this a result of developing the directly reads with the ball inside her fingers, scoring the ball productively or every thing it requires in direction of support her staff members appear out victorious, her activity's rather serene character aids add toward emphatic good results including the a single Sunday https://www.atlantadreamjersey.com/Naz_Hillmon_Jersey.
Dream Store
AshleyJos
Ga DT Johnny Dwight Commits towards Alabama
The School of Alabama finished their 1st summer months soccer camp and arrived out with one more huge person for the defensive line. Tuesday evening, Wilcox County defensive manage Johnny Dwight devoted toward Alabama turning out to be the team 9th motivation for the program of a lean 63 and 295 pounds, Dwight was a supreme performer at the Alabama camp this 7 days. The Rochelle, Georgia indigenous is already ranked 3superstars through the significant recruiting companies however anticipate that position towards shift up an additional star accurate before long. He was a little bit of an not known however Alabama https://www.crimsontidesportapparel.com/collections/michael-lorino-iii-jersey, LSU, Clemson, and UNC understood concerning him all of whom experienced readily available him. I experienced challenge obtaining video clip upon him. If yourself are definitely fascinated, monitor out this online video of previous season semifinal playoff of Emanuel County. vs Wilcox County. Dwight is range 70 in just blue and the opponent Very a great deal ran toward what ever contrary facet he protected up upon. Your self can even now perspective him fairly definitely inside the video clip. He includes constructive pace for these kinds of a massive guy and the electric power is : A person sooner or later area up some video clip of him. Yet again Jaren Hamilton Jersey, feel for 70 upon the blue and white workers.
Crimson Tide Shop

